试题详情
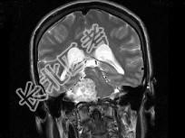
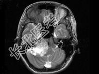
- 单项选择题女,45岁, 右侧听力下降伴行走不稳2个月,根据所提供图像, 最可能的诊断是 ( )

A、右侧脑膜瘤
B、右侧胆脂瘤
C、右侧皮样囊肿
D、右侧神经纤维瘤
E、右侧听神经瘤
关注下方微信公众号,搜题查看答案

热门试题
- 脑裂畸形Ⅱ和Ⅲ度不同之处为 (
- 男,3岁, 根据所示图像,最可能的诊断
- 脑脊液鼻漏,常见于A、筛骨骨折B、蝶骨骨
- 1、下列描述正确的是A、左侧额顶部硬膜下
- 女,50岁, 渐进性上肢活动不便伴麻木3
- Sturge-Weber综合征的面部血管
- 关于脑血管疾病钙化,下列哪些正确A、颈内
- 星形细胞瘤分四级,下列不属于Ⅰ型星形细胞
- 男,33岁, 头痛、恶心、呕吐,记忆力下
- 弥漫性轴索损伤最常见的损伤部位是(
- 1、复查CT平扫未见明显异常,最可能是因
- 男,29岁, 头颅外伤,结合CT图像,
- 如图箭头所示为大脑哪个部位 (
- 关于听神经鞘瘤的MRI表现,叙述不正确的
- 中枢神经系统结节性硬化包括 (
- 脊膜瘤的有关病理特点中,下列哪项错误
- 急性脑梗死早期会出现 ( )A、
- 女,45岁, 右耳听力下降半年余,CT检
- 下列关于颅内动脉瘤的叙述,不正确的是(
- 下列检查中哪个可行任意方位断层扫描