试题详情
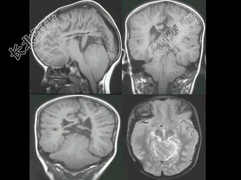
- 单项选择题男,3岁, 根据所示图像,最可能的诊断 ( )

A、脑室畸形
B、小脑畸形
C、脑干畸形
D、Chiari畸形
E、Dandy-Walker综合征
关注下方微信公众号,搜题查看答案

热门试题
- 关于颅内硬膜下血肿,下列说法错误的是A、
- 颅内最常见的血管畸形是A、动脉瘤B、动静
- CT显示跨越颅中后窝哑铃状肿块,岩骨尖部
- 慢性硬膜下血肿与硬膜下积液(水瘤)的鉴别
- 男,71岁, 腰背部疼痛1月余,MRI扫
- 横断面像上,下列基底节解剖描述中哪项不对
- 有关胚胎发育过程,正确的是A、胚胎15~
- 男,8岁,头痛CT示松果体区有一结节状稍
- 可显示脑的发育、成熟度、脑内各种元素分布
- 海绵状脑病(CJD)的影像学表现,不正确
- 男,46岁, 头痛、精神异常、意识模糊、
- 儿童四脑室内占位性病变,呈:&ldquo
- 星形细胞瘤分为 ( )A、2级B
- 垂体瘤的CT表现,下列哪项是错误的
- 头颅平片上可见到下列哪些结构的压迹A、脑
- 神经纤维瘤病Ⅱ型的主要表现是( )。
- 女,34岁, 颈痛半年,结合MRI检查,
- 半月裂 ( )A、位于钩突之上,
- 关于颅底孔裂的描述正确的是A、舌下神经管
- 颈动脉三角间隙内不含有A、颈总动脉B、颈