试题详情
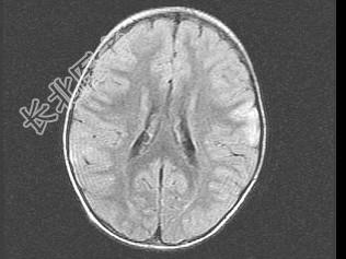
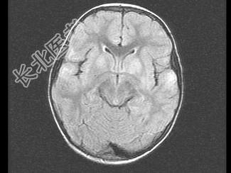
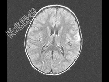
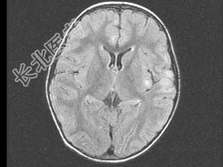
- 单项选择题女,3岁, 头痛、呕吐1周,结合MRI图像, 最可能的诊断是 ( )

A、脑膜炎
B、硬膜下出血
C、脑转移瘤
D、脑梗死
E、脑脓肿
关注下方微信公众号,搜题查看答案

热门试题
- 1、患者最可能诊断为2、该患者囊内CT呈
- 下列各种图像哪个对显示后颅窝肿瘤最敏感
- 儿童小脑半球占位性病变,首先考虑 (
- 最有利于脑外肿瘤定位的CT表现为 (
- 关于垂体瘤X线平片检查,下列叙述哪项正确
- 成人脑积水患者,下列CT表现哪项不对
- 灰质异位与哪种疾病的病因病理一致(
- 颅内动静脉畸形CT平扫,一般可为高、等、
- 颅内高压的X线表现是A、颅缝分离B、颅板
- 女,45岁, 垂体瘤术后7年,2个月前开
- 颅内动脉瘤最常见的临床表现为 (
- 鞍区旁最常见的肿瘤是 ( )A、
- 下列不通过颈静脉孔的结构是 (
- 1、你应该做何种检查A、CTB、MRIC
- 关于“恶性星形细胞瘤”,下列描述哪项不对
- 患者,男, 60岁,右侧肢体功能障碍2小
- 男,22岁, 发热、乏力,PPD(+),
- 大脑前动脉主要供血区为A、半球上外侧面和
- CT平扫时,正常脑灰质的CT值为 (
- 关于脊柱CT扫描技术的叙述,正确的是(