试题详情
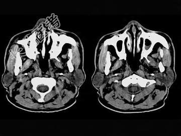
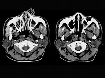
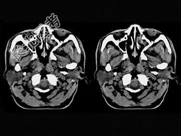
- 单项选择题男,61岁, 流鼻血三天。如图所示最可能的诊断为 ( )



A、鼻咽淋巴滤泡增生
B、鼻咽腺样体增生
C、鼻咽纤维血管瘤
D、小唾液腺瘤
E、鼻咽部息肉
关注下方微信公众号,搜题查看答案

热门试题
- 1、患者最可能的诊断是2、为排除鼻咽癌颈
- 颞骨鳞状细胞癌的可能病因是:( )A、
- 耳硬化症伴耳蜗受累者,听力检查结果除外A
- 当钩突最上部延伸至眶纸样板时,额隐窝的开
- 鼻咽部的解剖说法不包括下列哪项 (
- 1、放射治疗的后遗症不包括A、脑神经麻痹
- 男,17岁, 自诉鼻涕中带血3个月,伴耳
- 患者,男性, 23岁,发热头痛3天, 伴
- 发生颈部淋巴结转移率最高的头颈恶性肿瘤为
- 男,74岁, 咽喉部不适一年余,近两三个
- 下述几种病理状态,对听力影响最大的是A、
- 颈静脉球体瘤术前检查内容包括A、高分辨率
- 不含Corti淋巴液的结构为A、内螺旋沟
- 长期服用水杨酸类药物引起的鼻出血的原因
- 鼻超敏反应症状的发生主要与下列哪种细胞的
- 胸骨上间隙不包括A、颈前静脉B、颈静脉弓
- 程度较重的耳聋发生在哪一年龄段最易造成因
- 1、最适宜的治疗是2、填塞物为凡士林纱条
- 上颌基骨宽度的扩大,应在腭中缝完全融合前
- 急性咽后脓肿一经确诊,应及早行切开引流,