试题详情
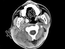
- 单项选择题男,17岁, 自诉鼻涕中带血3个月,伴耳闷、听力减退, 无发热。如图所示鼻咽部病灶最可能的诊断为 ( )




A、咽旁脓肿
B、鼻咽部恶性淋巴瘤
C、鼻咽癌
D、小唾液腺混合瘤
E、鼻咽部淋巴组织增生
关注下方微信公众号,搜题查看答案

热门试题
- 可发生于茎突前间隙的肿瘤有A、多形性腺瘤
- 形成男性喉结的解剖学结构是A、甲状软骨切
- 下面哪个血管不是颈外动脉的分支 (
- 关于中耳癌叙述不正确的是A、中耳肿瘤被颞
- 恶性外耳道炎的扩散途径包括:( )A、
- 有助于颈淋巴结结核诊断的有A、结核菌素试
- 如吸入高温气体后患者出现声嘶、喉痛、剧烈
- 对小儿鼻腔异物最有诊断价值的描述是A、单
- 鼻炎的病原微生物主要是 ( )A、鼻病毒
- 临床上鼻咽癌需与哪些疾病相鉴别 (
- 鼻部脑膜脑膨出的组织学结构为A、皮肤或粘
- 胸骨上间隙不包括A、颈前静脉B、颈静脉弓
- 鼻窦恶性肿瘤以下哪个部位最多见A、蝶窦B
- 与鼻腔面积-距离曲线中的第一切迹相对应的
- 患者,男, 40岁,1周前出现耳痛, 逐
- 1、最可能的诊断是2、追问病史,最相关的
- 关于耳廓描述不正确的是 ( )A
- 鼻窦黏液囊肿最常见于 ( )A、
- 患者,男,46岁,身高166cm,体重8
- 曲霉菌为A、条件致病菌B、非条件致病菌C