试题详情
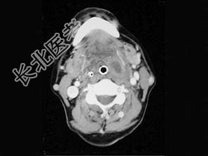
- 单项选择题患者,男性, 23岁,发热头痛3天, 伴咽旁和颈部剧痛,吞咽困难, 吐字不清,查体: 扁桃体及咽侧壁突向咽腔,但无明显充血, CT检查结果如下图:患者最可能的诊断为 ( )


A、咽旁脓肿
B、扁桃体周脓肿(前上型)
C、扁桃体周脓肿(后上型)
D、咽后脓肿
E、以上都不是
关注下方微信公众号,搜题查看答案

热门试题
- 慢性扁桃体炎引起的变态反应主要是A、Ⅰ型
- PSG检测指标不包括A、口鼻气流B、上气
- 应考虑是鼻真菌病的情况是A、单侧鼻涕带血
- 鼻咽的黏膜上皮类型是A、假复层纤毛柱状上
- 以下哪一项不属于耳源性颅内外并发症的传播
- 关于急性鼻窦炎的治疗,下述错误的是A、保
- 清理外耳道时引起咳嗽是由于刺激了 (
- 起自延髓,经二腹肌后腹深面,进入颈动脉三
- 急性扁桃体炎,其假膜的描述。正确的是
- Portmann提出的鼓室成形术分类,叙
- 1、应首先作哪项检查来进一步诊断2、若鼻
- 1、需要尽快进行的下一步检查为2、关于颞
- 咽旁隙的说法错误的是 ( )A、
- 1、目前应对患者采取的措施有2、提示 儿
- 小儿言语发育的年龄有个体差异,一般几岁时
- 1、最可能的诊断是2、对诊断最有帮助的是
- 有关杓状软骨的说法,下列哪项是错误的A、
- 患儿,男, 6岁,反复分泌性中耳炎, 张
- 患者,男,66岁,回吸痰多,间断带血2年
- 引起咽部狭窄及闭锁包括 ( )A、外伤B