试题详情
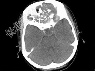
- 单项选择题男,26岁, 进行性鼻腔阻塞、流涕来院就诊,近两年持续性头痛、头晕.如图所示筛窦区占位灶应诊断为 ( )




A、脊索瘤伴左上颌窦炎
B、软骨瘤伴左上颌窦炎
C、骨化性纤维瘤伴左上颌窦炎
D、骨结核伴左上颌窦炎
E、骨纤维异常增殖症伴左上颌窦炎
关注下方微信公众号,搜题查看答案

热门试题
- 适用于0~6个月婴幼儿的行为测听方法为A
- 真菌性鼻窦炎最常见的致病菌是A、念珠菌B
- 急性会厌炎的症状一般不出现A、畏寒、发热
- 筛窦的内侧壁为 ( )A、有上鼻
- 一筛窦癌病人,根据(UICC)TNM(1
- 关于气管、支气管的免疫功能,下列叙述正确
- 室带是位于 ( )A、声门上区B
- 发生在REM期的微觉醒最显著的PSG改变
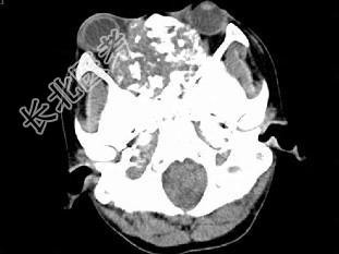
- 女,17岁, 鼻阻塞、头痛两年.如图所示
- 自发性的脑膜脑组织向中耳-乳突腔的疝出可
- 翼腭神经孔位于 ( )A、蝶窦下
- 1、为尽快改善患者眩晕症状,首选检查是2
- 关于第4鳃裂畸形,叙述正确的有A、外瘘口
- 4度喉阻塞时应采取哪种治疗措施 (
- 喉部疾病引起吞咽困难的有 ( )
- 脑膜脑组织疝入中耳-乳突腔的常见原因有A
- 以下选项为鼻前庭最狭窄的部位的是A、后鼻
- 中鼻甲的前部附着于 ( )A、筛窦顶部B
- 以下哪种疾病可能出现RT(+)、WT偏向
- 1、该患者的诊断首先应考虑为2、为明确诊