试题详情
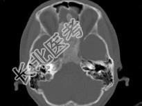
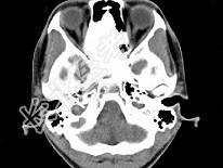
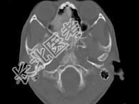
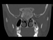
- 单项选择题女,17岁, 鼻阻塞、头痛两年.如图所示符合筛骨病变最可能的诊断是 ( )




A、成骨肉瘤
B、纤维异常增殖症
C、软骨瘤
D、骨瘤
E、骨化性纤维瘤
关注下方微信公众号,搜题查看答案

热门试题
- 鼻疖禁挤压的主要原因是 ( )A
- 关于特发性突聋临床表现,以下说法错误的是
- 锤骨头在胚胎发育中来自A、赖歇特软骨B、
- Ⅰ期的恶性外耳道炎的特征包括:( )A
- 鼻腔静脉回流中,最后汇入颈内、外静脉的静
- 喉部疾病引起吞咽困难的有 ( )
- 前庭迷路感觉即外周前庭系统的器质性或功能
- 刺激中鼻甲引起反射性疼痛的部位是A、上列
- 需要尽早选择手术治疗的是A、突聋伴随的耳
- 1、应进一步作哪项检查来明确诊断2、若活
- 鼻窦黏液囊肿形成的原因有 ( )
- 下列哪项不属于急性扁桃体炎的并发症 (
- 关于分泌性中耳炎的临床表现,叙述错误的是
- 慢性扁桃体炎临床上有以下哪些表现 ( )
- 喉麻痹中以呼吸困难为主要症状的是A、单侧
- 下述哪一肌肉在调节中耳内外气压平衡中起主
- 第2鳃裂瘘 ( )A、瘘管穿越颈
- 食管异物伴食管穿孔可出现的并发症是A、皮
- 关于鼓室,以下说法错误的是A、以鼓膜紧张
- 1、以下处理错误的是2、颅脑CT示颞骨纵