试题详情
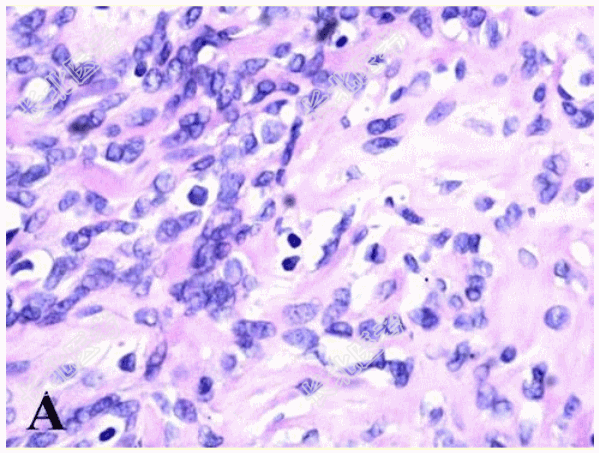
- [材料题] 患者男,40岁,因“呼吸困难、胸痛”来诊。患者从事采矿工作20余年。CT:左侧壁层胸膜5.0cm×4.8cm肿物,累及脏层胸膜和肺组织。术中见肿物单发,直径约5cm,实性,灰白,与脏层胸膜粘连。镜下:肿瘤细胞呈成纤维细胞样,大部分异型性不明显,细胞稀少区和细胞丰富区之间有粗的玻璃样变胶原和分支状血管分隔,如图所示。

- 简答题1、最可能的诊断是?
关注下方微信公众号,搜题查看答案

- 简答题2、该疾病的免疫组织化学染色一般表达?
关注下方微信公众号,搜题查看答案

- 简答题3、该疾病好发于?
关注下方微信公众号,搜题查看答案

热门试题
- 1、该疾病的病理分型包括?2、该肿瘤向周
- 1、该疾病的病理改变为?2、该疾病的典型
- 1、该疾病镜下改变表现为?2、该疾病免疫
- 1、该疾病大体检查表现为?2、该疾病组织
- 1、该疾病免疫表型表达?2、该疾病的扩散
- 1、该疾病多发生于?2、该疾病病因包括?
- 1、正确的诊断是?2、可能在本病中查出的
- 1、神经鞘瘤主要发生于?2、该疾病影像学
- 1、该疾病肉眼改变表现为?2、该疾病镜下
- 1、该疾病的镜下改变表现为?2、根据浸润
- 1、该疾病多见于?2、该疾病可有哪些肉眼
- 1、该疾病病理学表现为?2、该疾病病免疫
- 1、该疾病免疫组化表达?2、该疾病涉及哪
- 1、该疾病镜下改变表现为?2、该疾病免疫
- 1、根据上述,可能的诊断是?2、该患者既
- 1、最可能的诊断是?2、该疾病的镜下改变
- 1、急性排斥反应诊断的经典三联征为?2、
- 1、血吸虫病的病因包括?2、该疾病病理学
- 1、该疾病的大体改变为?2、该疾病的镜下
- 1、遗传性结直肠癌典型代表主要有哪几类?