试题详情
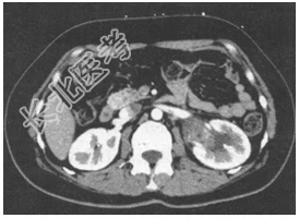
- [材料题] 患者男性,71岁,因“血尿1个月”就诊。患者于1个月前,无明显诱因出现无痛性全程肉眼血尿,无尿频、尿急,无排尿费力等不适。遂至门诊就诊。尿常规检查:尿隐血(+++)。CT检查图像见图13。

- 简答题1、该患者诊断首先应考虑
关注下方微信公众号,搜题查看答案

- 简答题2、患者尿脱落细胞学检查发现癌细胞。膀胱镜检查:膀胱内黏膜光整,血管纹理清晰,未见新生物,右侧输尿管喷尿清,左侧上尿路出血。予以行左侧肾盂癌根治术。术后病理检查:提示左肾盂移行细胞癌Ⅱ级,肿瘤肌层侵犯,部分区域侵及肾实质及肾盂周围脂肪,自检肾周淋巴结4枚,未见癌转移。该患者病理分期是
关注下方微信公众号,搜题查看答案

- 简答题3、患者术后接受了膀胱灌注化疗,同时于门诊随访。术后10个月,患者再次出现无痛性肉眼血尿。哪些检查对于明确诊断有意义
关注下方微信公众号,搜题查看答案

- 简答题4、患者行膀胱镜检查:提示膀胱左侧壁水草样新生物,大小约3.8cm×0.5cm。患者下一步治疗方案有
关注下方微信公众号,搜题查看答案

热门试题
- 1、该患者需要进一步完善具有重要诊断价值
- 1、患者T39℃,血常规:HB12g/L
- 1、对该患者的诊断可能是2、静脉肾盂造影
- 1、可能性最大的诊断是2、为了明确诊断,
- 1、该患者需要进一步完善具有重要诊断价值
- 1、患者双肾积水最可能的原因是2、对该患
- 1、哪些检查对进一步明确诊断有意义2、该
- 1、该患者最可能的诊断是2、哪些检查有助
- 1、患者可能诊断为2、患者入院后行前列腺
- 1、在尿动力学检查之前,应完善哪些检查2
- 1、初步诊断为2、应做哪些检查
- 1、最可能诊断为2、应与哪些疾病进行鉴别
- 1、该患者目前的诊断是2、该患者目前的诊
- 1、该患者初步诊断为?2、与之相关的疾病
- 1、该患者最可能的诊断是2、辅助检查,血
- 1、患者可能的诊断是2、患者完善了腹部+
- 1、诊断应首先考虑为2、该疾病可能的病因
- 1、患者可能的诊断是2、患者完善了腹部+
- 1、该患者最可能的诊断是2、应与哪些疾病
- 1、该患者需要进一步完善具有重要诊断价值