试题详情
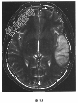
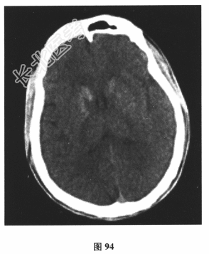
- [材料题] 患者男,24岁。由于“反复发作性四肢抽搐3个月,言语困难1d”到院就诊。3个月前饮酒后出现四肢抽搐、意识丧失,持续3min左右自行缓解;10d前再发一次四肢抽搐。遂行颅脑CT(图94)及MRI平扫检查(图95)后予丙戊酸钠对症治疗。1d前再发四肢抽搐,出现言语困难。其母亲有糖尿病病史。查体:身材矮小,意识清楚,感觉性失语,四肢肌力、肌张力正常,腱反射对称活跃,深、浅感觉正常,病理反射未引出,脑膜刺激征(-)。脑脊液:压力110mmH₂O,细胞、蛋白、葡萄糖、氯化物均正常,乳酸3.6mmol/L↑。

- 简答题1、该患者最可能的诊断是
关注下方微信公众号,搜题查看答案

- 简答题2、追问病史,患者平素有发作性头痛、耳鸣,活动后容易疲劳。有助于明确诊断的检查是
关注下方微信公众号,搜题查看答案

- 简答题3、静息及运动乳酸水平明显升高,mtDNA A3243G突变阳性。住院第2天患者再发类似的四肢抽搐,可以选用的药物包括
关注下方微信公众号,搜题查看答案

- 简答题4、患者癫痫控制后,进一步的治疗主要包括
关注下方微信公众号,搜题查看答案

热门试题
- 1、该患者的病变部位在2、考虑诊断是3、
- 1、依据题干,患者最可能的诊断是2、此时
- 1、建议患者进行什么检查2、辅助检查:血
- 1、为明确诊断,需完善哪些检查2、若维生
- 1、该患者的头晕的症状属于哪种类型2、结
- 1、那么最可能的诊断是2、其特征性的病理
- 1、该患者需要进一步给予的辅助检查有2、
- 1、有助于诊断的检查有2、新斯的明试验(
- 1、依据现有的资料,患者定位诊断考虑的是
- 1、患者意识淡漠、嗜睡最可能的原因应为2
- 1、为明确诊断,应立即检查2、颅脑CT:
- 1、结合患者目前症状、体征及影像学检查,
- 1、急诊应先重点完善的检查包括2、完善头
- 1、患者入院后应要进行的检查有2、神经系
- 1、为明确诊断此患者需要进行的检查项目包
- 1、本例头痛需要初步考虑的疾病有2、该患
- 1、初步诊断为2、如何进行治疗
- 1、为明确诊断,还应进行的检查包括2、住
- 1、该患者病变部位考虑的是2、进一步须完
- 1、其运动障碍的机制是2、最可能的诊断是