试题详情
- [材料题] 女性患者,30岁。因“间断发热伴头痛、呕吐5个月”就诊。患者于5个月前无明显诱因出现发热,体温最高达39℃,头痛部位不固定,并伴有呕吐,发热时四肢肌肉疼痛,严重时不能行走,并有发作性双眼视物模糊,无抽搐。经“头孢呋辛”等抗感染药物治疗体温可下降,但头痛不完全缓解,数日后体温再升高。5年前曾诊断“蛛网膜囊肿”,未治疗。否认疫区居住史。查体:意识清楚,言语流利,双瞳孔等大正圆,直径3mm,眼底视盘水肿,眼动充分,无明显眼震,面纹对称,伸舌居中;四肢肌力5级,双侧深浅感觉未见异常,病理反射未引出;颈稍抵抗,克尼格征(-)。血常规、尿常规、粪常规、血生化均正常。腰椎穿刺:压力300mmH₂O,无色透明,潘氏试验(+),细胞320×10⁶/L,RBC 130×10⁶/L,WBC 190×10⁶/L,单个核细胞0.7,多个核细胞0.3,TP 875mg/L,Cl 116mmol/L,Glu 2.02mmol/L;脑脊液巨细胞病毒、单纯疱疹病毒Ⅰ型、风疹病毒、弓形体、微小病毒B19、柯萨奇病毒B型抗体均阴性。血巨细胞病毒、单纯疱疹病毒Ⅰ型、风疹病毒、柯萨奇病毒B型IgG抗体均阳性。血莱姆病IgG抗体(±),血弓形虫DNA低于检测下限。颅脑MRI(增强):左侧颞顶叶局部脑萎缩。
- 简答题1、此患者可能的病变部位为
关注下方微信公众号,搜题查看答案

- 简答题2、此患者须初步考虑的疾病有
关注下方微信公众号,搜题查看答案

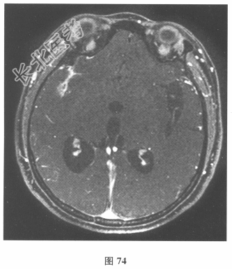
- 简答题3、患者入院后复查腰椎穿刺:脑脊液抗酸染色(-),墨汁染色(-),嗜酸性粒细胞比例增高,淋巴细胞体积较大。血及脑脊液弓形虫抗体均(-),血及脑脊液囊虫IgG抗体均(+),莱姆病抗体(-)。追问病史,曾经食用过“米猪肉”。进一步行颅脑MRI检查见图74、图75。)根据上述患者病史和检查结果,对此患者下一步治疗的药物包括

关注下方微信公众号,搜题查看答案

- 简答题4、提示脑囊虫病治愈的指征有
关注下方微信公众号,搜题查看答案

热门试题
- 1、初步诊断为2、如何进行治疗
- 1、该患者的头晕的症状属于哪种类型2、结
- 1、建议患者进行什么检查2、辅助检查:血
- 1、初步诊断是什么?诊断依据有哪些?2、
- 1、此患者可能的诊断有2、肌电图:右侧三
- 1、此患者疾病最可能为2、患者须完善的检
- 1、该患者的诊断是什么?诊断依据有哪些?
- 1、依据现有的资料,患者定位诊断考虑的是
- 1、此患者初步诊断须考虑2、为明确诊断,
- 1、该患者需进行的检查包括2、该患者头颅
- 1、患者入院后应要进行的检查有2、神经系
- 1、该患者诊断首先考虑2、为明确诊断,应
- 1、有利于症状评定的量表包括2、首选治疗
- 1、目前最可能的诊断是2、为进一步明确诊
- 1、该患者首先应需要立即检查2、实验室检
- 1、为明确诊断,需完善哪些检查2、若维生
- 1、有助于诊断的检查有2、新斯的明试验(
- 1、本例头痛需要初步考虑的疾病有2、该患
- 1、此患者可能的病变部位为2、此患者须初
- 1、为明确诊断,需要完善的检查有2、Ac