试题详情
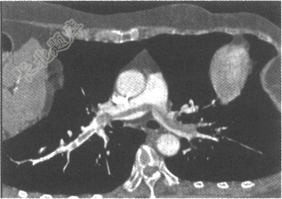
- 单项选择题女性患者,52岁。呼吸困难1个小时。CT肺动脉造影如下图,应诊断为

A、肺动脉狭窄
B、肺动脉损伤
C、慢性肺动脉栓塞
D、肺动脉高压
E、急性肺动脉栓塞
关注下方微信公众号,搜题查看答案

热门试题
- 女性,35岁。反复双手近端指间、腕、肘、
- 1、Frank导联中X导联电极的部位2、
- 1、提示:若患者入院后一次中段尿培养阴性
- 女性患者,66岁,糖尿病病史10余年,长
- 某患者女性,27岁,既往有1型糖尿病。今
- 急性胰腺炎时,血清脂肪酶升高可持续A、1
- 高比密尿可见于以下疾病或情况,应除外A、
- 在高血压急症治疗药物中,降压最迅速的是A
- 判断甲亢病人可否停用抗甲状腺药物的最好试
- 131I治疗甲亢最适合于A、30岁以上、
- 女性患者,25岁,停经48日,下腹痛伴阴
- 1、以大豆油或红花油为原料2、包括水溶性
- 1、该患者的乳房发育最可能是2、为明确诊
- 心电图纸速为25mm/s时,每毫米横向间
- 对于冠心病评价而言,CT与MRI相比具有
- 患者,女,20岁,甲亢,甲状腺中度肿大,
- 对糖尿病合并高血压患者,通常建议控制血压
- 不符合弥漫性甲状腺肿伴甲亢诊断的实验检查
- 地中海贫血是A、血红蛋白功能异常B、红细
- 免疫法隐血试验适于检验的疾病为A、急慢性