试题详情
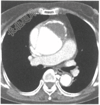
- 单项选择题男性患者,52岁,突感胸骨后撕裂样疼痛,就诊后行主动脉CTA检查如下图,应考虑为

A、主动脉夹层(DeBakey Ⅱ型)并主动脉瘤
B、主动脉瘤
C、主动脉血栓
D、主动脉夹层(DeBakey Ⅰ型)并主动脉瘤
E、主动脉夹层(DeBakey Ⅲ型)并主动脉瘤
关注下方微信公众号,搜题查看答案

热门试题
- 粪便外观呈白陶土样,主要见于A、服用铁剂
- 1、诊断系统性红斑狼疮的最具有意义检查是
- 关于胸前导联的叙述,正确的是A、正极应置
- 对癫痫诊断意义较小的脑电图波型是A、节律
- 确诊消化性溃疡的首选检查方法为A、胃液分
- 1、肠内营养的并发症为( )2、肠外
- 成年肥胖型糖尿病合并重症感染时,下列治疗
- 27岁经产妇,妊娠38周,阴道流血2日无
- 早期糖尿病肾病伴高血压患者,应首选的治疗
- 1、该患者初步的诊断是2、对诊断帮助最小
- 以下关于糖尿病酮症酸中毒的描述哪项是错误
- 患溶血性黄疸时尿中胆红素( )A、轻
- 高血压患者出现下列哪项改变,提示出现早期
- 患者,男,60岁,冠心病,心衰服地高辛,
- 下列哪种抗心律失常药物属IA类A、吡二丙
- 1、骨髓涂片检查不符合缺铁性贫血诊断的是
- 1、COPD患者肺功能回报:FEV1/F
- 病毒性心肌炎表明有心肌损伤最敏感且特异的
- 维持机体功能的营养素,以下选项中不包括A
- 关于突眼与甲亢的关系,哪项是对的A、突眼