试题详情
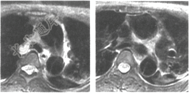
- 单项选择题女,胸骨后疼痛3小时就诊,MRI检查如下图,应诊断是

A、主动脉夹层(DeBakeyⅠ型)
B、主动脉血栓
C、主动脉夹层(DeBakeyⅢ型)
D、主动脉瘤
E、主动脉夹层(DeBakeyⅡ型)
关注下方微信公众号,搜题查看答案

热门试题
- 在肝硬化腹水的治疗中以下哪项不宜采用A、
- 1、判断重症急性胰腺炎首先选择的检查手段
- 检测尿中β2-微球蛋白是监测A、肾小球蛋
- 1、多发性骨髓瘤患者尿中可特异性出现的是
- 消化性溃疡用质子泵抑制剂治疗,其作用在壁
- 一肝癌患者,术中输血几毫升后,突然咳嗽,
- 以下关于成人特发性血小板减少性紫癜的描述
- 女性患者,24岁。临床诊断1型糖尿病,予
- 女性患者,19岁。贫血貌,牙龈出血,双下
- 加温血液的温度不宜超过A、35℃B、30
- 女,胸骨后疼痛3小时就诊,MRI检查如下
- 1、根据患者心电图的表现可诊断2、针对该
- 某患者女性,29岁,既往有糖尿病史5年。
- 女,41岁,2小时前跌倒后手掌着地,右腕
- 患者,女,57岁,咳嗽、咳痰2个月余,3
- 重症肌无力患者,最多见的首发症状为A、呼
- 以下哪项是糖尿病肾病Ⅲ期尿白蛋白排泄率的
- 27岁经产妇,妊娠38周,阴道流血2日无
- 1、最有可能的诊断为2、最具有针对性的检
- 二尖瓣狭窄最常见的心律失常为A、阵发性室