试题详情
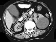
- 多项选择题女,38岁, 左腰部胀痛不适,CT平扫+增强如图所示, 下列说法正确的是 ( )

A、平扫时可见左肾一类圆形囊性病灶
B、病灶边界清晰,表面光整
C、增强扫描皮质期和实质期该病灶均未见强化
D、考虑为左肾囊性肾癌
E、考虑为左肾囊肿
关注下方微信公众号,搜题查看答案

热门试题
- 属于精索内的结构有 ( )A、肉
- 尿路结石在下列哪些部位形成A、膀胱B、输
- 尿道狭窄用金属尿道探条行尿道扩张以下哪几
- 不宜行膀胱镜检查的有 ( )A、
- 肾结核的诊断依据是 ( )A、腰
- 关于膀胱尿路上皮癌叙述正确的是(
- 下述哪几项为膀胱镜检查的禁忌证A、尿道狭
- 尿道扩张术常见的并发症A、膀胱破裂B、尿
- 1、下列治疗中错误的是A、立即停止输血B
- 不适合药物治疗前列腺增生症的病症包括有A
- 1、下列检查首选2、CT显示右肾裂伤、肾
- 前列腺增生症手术治疗的指征A、不稳性膀胱
- 男,65岁, 左侧腰背部胀痛伴无痛性全程
- 前列腺炎患者的常见症状包括A、尿频、尿急
- 1、最简捷的诊断方法是2、该患者最可能的
- 下列哪些疾病可导致阴茎癌A、巨大尖锐湿疣
- 在泌尿生殖系统肿瘤中,具有明确有效肿瘤标
- 右肾结石直径2cm大小,以下哪几项是ES
- 男性,30岁, 反复泌尿系感染3个月,尿
- 1、此患者临床诊断哪种可能性大2、此患者