试题详情
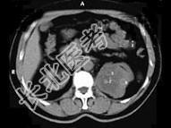
- 多项选择题男,65岁, 左侧腰背部胀痛伴无痛性全程血尿3个月余,CT平扫及增强检查如图所示, 下列说法正确的是 ( )

A、平扫时见左肾上极有一软组织肿块影,其边界较清楚
B、增强扫描肾皮质期可见肿块明显强化,其内亦有无强化区
C、增强扫描肾实质期可见肿块强化迅速下降,但密度比平扫时仍要高
D、考虑为左侧肾癌
E、考虑为左侧肾错构瘤
关注下方微信公众号,搜题查看答案

热门试题
- 附睾浆液性囊腺瘤的临床表现有( )。
- 下列哪几项属于前列腺增生症的并发症A、膀
- 肾移植急性排斥反应中细胞介导及抗体介导的
- 诊断肾脏损伤下列哪些项检查可使用A、CT
- 影响尿路结石形成的因素包括A、梗阻B、感
- 一侧肾结核合并对侧肾积水的发生机制是A、
- 1、根据患者的症状和相关资料,可能的诊断
- 女,64岁, 左侧腰部胀痛,行CT扫描,
- 急性肾盂肾炎的尿常规检查可见( )。
- 不适合药物治疗前列腺增生症的病症包括有A
- 女,34岁, 无意中发现血压升高4 个月
- 1、此患者临床诊断哪种可能性大2、此患者
- 下列腹膜后肿物在影像学上表现为实性肿物的
- 肾损伤的远期并发症是A、尿囊肿B、高血压
- 1、该病人目前按经验补钠量为每千克体重2
- 闭合性肾损伤可做下列哪些检查A、动脉造影
- 以下疾病,透光试验阴性的有 (
- 1、可能的诊断为2、治疗应考虑
- 库欣综合征筛选检查标准包括( )。A
- 前列腺炎综合征包括以下哪些疾病引起的一组