试题详情
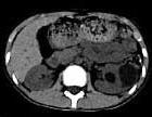
- 多项选择题女,14岁, 左腰部胀痛,CT平扫+增强如图所示, 下列说法正确的是 ( )




A、左肾实质内可见两个类圆形的囊性病灶,边缘光整,增强后不强化
B、左肾后外侧缘可见一较大的囊性病灶,其壁薄而光整,考虑为肾包膜下囊肿
C、左肾后外侧缘可见一较大的囊性病灶,其壁薄而光滑,考虑为肾外囊性病灶
D、考虑为多囊肾
E、考虑为多发性肾囊肿
关注下方微信公众号,搜题查看答案

热门试题
- 1、为明确诊断,应采用的检查方法是2、肿
- 闭合性肾损伤可做下列哪些检查A、动脉造影
- 1、应急诊做什么处理?2、尚需做哪些检查
- 男,53岁, 无痛性血尿2个月余,CT扫
- 下述哪些疾病情况可以行膀胱镜检查A、大量
- 发病原因与性激素有关的疾病是A、良性前列
- 右肾结石直径2cm大小,以下哪几项是ES
- 不适合药物治疗前列腺增生症的病症包括有A
- 目前临床上治疗慢性前列腺炎常用的药物包括
- 男性,3l岁,尿频、尿急、尿痛1年余,有
- 1、术后半年病人始终感觉左足和会阴部麻木
- 1、试问下列哪种内脏的损伤可能性大2、首
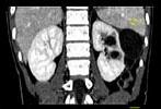
- 女,38岁, 左腰部胀痛不适,CT平扫+
- 引起急性附睾炎的常见病原体有( )
- 1、根据患者的症状和相关资料,可能的诊断
- 有关包茎及包皮过长的说法正确的是A、包茎
- 肾移植急性排斥反应中细胞介导及抗体介导的
- 关于肾脏损伤,下列哪些叙述是正确的 (
- 1、理想的治疗方法是2、哪项检查对定位最
- 1、最可能的是发生了以下哪种情况2、对此