试题详情
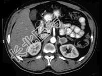
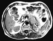
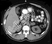
- 多项选择题女,34岁, 无意中发现血压升高4 个月就诊,行CT检查, 如图所示,下列说法正确的是 ( )

A、CT示左侧肾上腺区可见一等密度块影,边界清楚
B、增强扫描,该病灶周边明显强化,中心处强化不明显
C、考虑为左肾上腺腺瘤
D、考虑为左肾上腺嗜铬细胞瘤
E、考虑为左肾上腺转移瘤
关注下方微信公众号,搜题查看答案

热门试题
- 关于精索静脉曲张哪几项是不恰当的A、婴幼
- 一侧肾结核合并对侧肾积水的发生机制是A、
- 属于男性附属腺的有 ( )A、精
- 关于膀胱肿瘤患者的检查,错误的有A、膀胱
- 下列哪几种情况提示我们应该加以重视,尽早
- 女性,32岁, 一年来反复出列尿频、尿急
- 后期治疗需尿道扩张的是A、前列腺肥大B、
- 男性,60岁, 间断肉眼血尿2个月余。尿
- 女,34岁, 无意中发现血压升高4 个月
- 肾细胞癌患者,副瘤综合征的表现包括(
- 肾损伤非手术治疗的措施是A、绝对卧床B、
- 1、可能的诊断为2、上述患者行保守治疗2
- 女,38岁, 体检时B超在左肾探及一中强
- 关于尿道下裂,下列哪几项正确A、属常染色
- 男,30岁,右肾结石、肾积水伴肾盂感染。
- 男性,57岁, 半年前出现全程无痛性肉眼
- 闭合性肾损伤可做下列哪些检查A、动脉造影
- 属于精索内的结构有 ( )A、肉
- 1、此患者最可能合并的水、电解质失衡的诊
- 在泌尿生殖系统肿瘤中,具有明确有效肿瘤标