试题详情
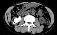
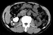
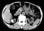
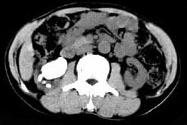
- 多项选择题男,53岁, 反复右侧腰部隐痛不适2年余,CT如图所示, 下列说法正确的是 ( )

A、右肾多发结石
B、右肾铸型结石
C、右肾钙化
D、右肾自截
E、部分肾盏有扩张积液
关注下方微信公众号,搜题查看答案

热门试题
- 关于阴茎血管神经的说法,正确的有 (
- 慢性附睾炎患者体检可见( )。A、附
- 关于包皮龟头炎的概念,叙述正确的是(
- 1、首先要考虑的检查是2、检查提示右肾不
- 肾上腺神经母细胞瘤生化检查可见( )
- 包皮过长与包茎的不良后果是 (
- 经鼻经蝶垂体腺瘤摘除术的优点有( )
- 尿道损伤常见的临床表现包括( )A
- 输精管结扎术的并发症包括( )。A、
- 1、以下哪些检查对于进一步明确诊断有价值
- 关于间质性膀胱炎的治疗原则以下叙述正确的
- 有关肾积水检查,以下叙述不正确的是(
- 脐尿管瘘的临床表现包括( )。A、尿
- 排尿困难按病因可分为( )。A、机械
- 1、诊断考虑的疾病有2、为明确诊断需要检
- 1、应考虑的治疗是2、最有助于鉴别诊断的
- 急性淋菌性尿道炎的治疗措施包括( )
- 1、下一步检查应首先考虑2、尿细胞学、泌
- 输尿管镜取石或碎石术远期并发症包括(
- 女,56岁, 间歇性无痛性全程血尿2年余