试题详情
- [材料题] 患者,男性,63岁,因“车祸致上腹痛5小时”入院。患者5小时前遇车祸,之后感上腹疼痛,左侧小腿裂伤,无昏迷,无头痛、头晕,无恶心、呕吐,无呼吸困难,无四肢活动障碍。至当地医院就诊,胸部、骨盆X线片未见明显异常,腹部B超未见肝胆胰脾破裂征象,未见明显腹水,给予创口清创缝合,破伤风抗毒素肌注、补液等治疗,为求进一步诊治来我院。入急诊时查体:T 37℃,P 102次/min,R 30次/min,BP 100/66mmHg;神志清楚,精神欠佳,双侧瞳孔等大等圆,直径约3mm,对光反射灵敏;颈椎无压痛,胸廓无压痛,两肺呼吸音对称,心律齐,未及明显杂音;上腹部肌紧张,全腹压痛,反跳痛可疑,左侧小腿未见畸形,创口已缝合,足背动脉搏动存在。肛门指检未见染血。
- 多项选择题1.目前需要做的辅助检查有
A、降钙素原
B、血常规+血型
C、双侧胫腓骨X线片
D、C反应蛋白
E、腹部B超
F、血淀粉酶
G、凝血功能
H、血脂检查
I、腹部增强CT
J、头颅CT
关注下方微信公众号,搜题查看答案

- 多项选择题2.[提示]患者随即出现血压下降趋势,86/61mmHg左右, 无贫血貌,意识仍清楚, 精神欠佳,P 117次/min, R 28次/min。FAST检查见肝脏周围及肝肾间隙积液,其余部位未见明显异常。外周血WBC 18.5×10⁹/L, Hb 108g/L,HCT 31.5%, PLT 135×10⁹/L;CRP 81.3mg/L, 降钙素原4.29ng/ml,血淀粉酶209U/L; PT 25秒,APTT 48.5秒, FIB 1.01g/L。 目前考虑的诊断为
A、腹腔积液
B、失血性休克
C、感染性休克
D、腹部闭合伤
E、凝血功能障碍
F、胰腺损伤
G、脊髓休克
关注下方微信公众号,搜题查看答案

- 多项选择题3.[提示]积极快速补液抗休克后,BP 102/68mmHg, P 108次/min,R 28次/min, 再次复查血常规:Hb 102g/L。 下一步需要做的处理是
A、普外科会诊
B、诊断性腹腔穿刺
C、血乳酸
D、呼吸机通气
E、使用氨甲环酸
F、腹部增强CT
G、气管插管
H、血气分析
关注下方微信公众号,搜题查看答案

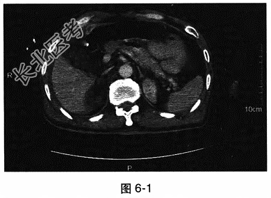
- 多项选择题4.[提示]腹部增强CT检查见图6-1。行腹腔诊断性穿刺,抽出少量浑浊的血性液体。送检腹水常规、生化及细菌涂片。
下一步合理的处置包括 A、收住病房继续观察
B、腹腔灌洗
C、等待腹腔穿刺液化验结果
D、抗生素治疗
E、急诊行剖腹探查术
F、胃肠减压
关注下方微信公众号,搜题查看答案

热门试题
- 关于破伤风的叙述,正确的是A、破伤风痉挛
- 对怀疑是晕厥导致的一过性意识丧失患者,进
- 以下有关灾难现场的检伤分类标准,叙述正确
- 1、最可能的诊断是2、对该患者,下列哪项
- 过敏性紫癜的诊断标准包括A、发病前1~3
- 传染性非典型肺炎(SARS)的实验室检查
- 《2020年AHA心肺复苏与心血管急救指
- 1、此时患者初步诊断是( )。A、急
- 呼吸骤停的原因有 ( )A、创伤
- 儿童突然出现惊慌、气促,送急诊发现患儿严
- 以下哪种疾病引起的出血可诊断为咯血A、白
- 需要急诊医生特别注意的皮肤表现有A、发热
- 关于原发性腹膜炎的治疗,正确的是A、首选
- 异位妊娠的鉴别诊断包括A、急性盆腔炎B、
- 原发性脑出血后,血肿扩大的直接原因是病变
- 经常伴有膈下游离气体的情况有A、肠道外伤
- 1、患者的主要诊断应该是( )。A、
- 隐球菌性脑膜炎的头CT扫描见( )。
- 血液净化时枸橼酸抗凝的相对禁忌有A、严重
- 急性乙醇中毒分期包括A、兴奋期B、震颤谵