试题详情
- [材料题] 患者男性,41岁,公司职员。因"发热、右胸痛6天"入院,伴干咳、乏力。入院后检查:体温38.1℃。血常规检查:白细胞计数8.6×109/L,中性粒细胞0.76,淋巴细胞0.21,血小板计数168×109/L。
- 多项选择题1.首先考虑患者为下列哪种疾病( )
A、社区获得性肺炎
B、慢性阻塞性肺疾病
C、支气管扩张
D、肺血栓栓塞症
E、肺脓肿
F、原发性支气管肺癌
G、胸膜炎
关注下方微信公众号,搜题查看答案

- 多项选择题2.患者首先应完善下列哪些检查( )
A、胸部X线
B、肺功能
C、心脏彩超
D、肿瘤全套
E、C反应蛋白
F、血培养
关注下方微信公众号,搜题查看答案

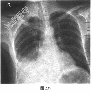
- 多项选择题3.[提示]患者入院后查体:右下肺呼吸音消失, 无干湿性啰音,叩诊呈实音。查胸部X线片(图235)提示右下肺大片高密度影, 呈内低外高弧形。为明确诊断,患者还应完善下列哪些检查( )

A、胸部CT
B、心电图
C、胸腔B超
D、胸部MR
E、CTPA
F、肿瘤全套
G、生化全套
关注下方微信公众号,搜题查看答案

- 多项选择题4.[提示]患者B超检查:提示右侧中等量胸腔积液。血培养阴性, 血红细胞沉降率78mm/h。胸穿抽液检测:呈淡黄色, 白蛋白32g/L,淋巴细胞占90%, 腺苷脱氨酶(ADA)59U/L。下一步需采取的处理措施包括( )
A、继续胸穿抽液
B、抗生素治疗
C、抗结核治疗
D、内科胸腔镜检
E、肋间置细管胸腔闭式引流
F、泼尼松口服
关注下方微信公众号,搜题查看答案

热门试题
- 动脉血气分析示PaCO
- 1、最可能的诊断是2、对该患者进行下一步
- 1、首选检查为2、若心电图显示为预激综合
- 肺癌的转移途径为A、血行转移B、淋巴道转
- 1、最可能的有关肺动脉高压的诊断是A、慢
- 1、血气结果应判断为2、患者氧疗应采取的
- 1、诊断该病应为2、下列哪项治疗是错误的
- 关于硅沉着病,说法正确的是A、典型硅沉着
- 支持肺结核诊断的影像学表现是A、右下叶大
- 间歇正压通气的特点有A、吸气期是正压B、
- 1、最可能的诊断是系统性红斑狼疮合并
- 气胸对循环系统的影响包括A、心肌收缩力降
- 影响肺脓肿疗效的原因是A、未联合使用支气
- 杵状指(趾)可见于下列哪些疾病A、慢性肾
- 下述哪种患者的支气管冲洗物中可找到含铁血
- 慢性支气管炎肺部体检时可见A、无异常体征
- 1、以下哪项符合患者的初步诊断( )
- 上呼吸道感染的临床类型有A、普通感冒型B
- IPF的确诊标准一中,除有外科肺活检显示
- PAP的临床表现特征有A、肺弥漫性阴影B