试题详情
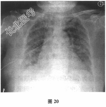
- [材料题] 患者男性,58岁。肾衰竭5年,肾移植术后2个月。因"发热、呼吸困难5天"入院。患者5天前无明显诱因出现发热,体温最高可达39℃,伴喘憋和畏寒,无明显寒战,偶有咳嗽,但无明显咳痰,有发热且感轻度头痛,无意识障碍,无胸痛,无咯血,未正规诊治,自服"退热药",仍反复发热。查体:体温38.8℃,脉搏110次/分,呼吸频率30次/分,血压130/90mmHg(1mmHg=0.133kPa),两肺呼吸音清晰,未闻及干湿啰音。血常规检查:白细胞计数5.8×109/L,中性粒细胞0.888,血红蛋白122g/L。未吸氧状态下动脉血氧分压50mmHg。胸部X线片:双肺见斑片状高密度影,右侧肋膈角模糊。
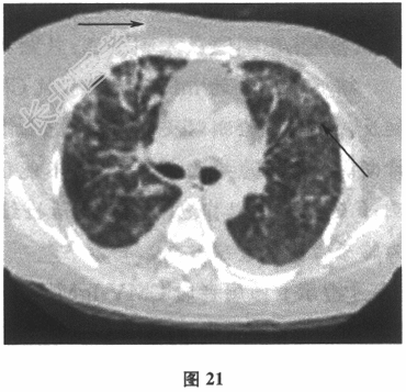
胸部CT:示双肺多发斑片、磨玻璃影,伴小叶间隔增厚和双侧少量胸腔积液(图20,图21)。

- 多项选择题1.目前患者最可能的诊断是( )
A、肺结核
B、支原体肺炎
C、细菌性肺炎
D、病毒性肺炎
E、心源性肺水肿
F、侵袭性肺曲霉病
G、肺泡内出血
关注下方微信公众号,搜题查看答案

- 多项选择题2.为了确诊是否为巨细胞病毒(CMV)肺炎,可以选做下列哪些临床常规检查项目( )
A、CMV的mRNA检测
B、抗CMV-IgM抗体检测
C、CMV的定量聚合酶链反应(PCR)检测
D、外周血淋巴细胞pp65阳性细胞检测
E、病毒分离培养
F、痰标本涂片检查
G、电镜扫描检测
关注下方微信公众号,搜题查看答案

- 多项选择题3.[提示]该患者血CMV-IgM强阳性,确诊为CMV肺炎。此时可选用下列哪些药物治疗( )
A、二脱氧胸苷
B、更昔洛韦
C、膦甲酸钠
D、阿昔洛韦
E、人血丙种球蛋白
F、抗巨细胞免疫球蛋白
G、阿糖腺苷
关注下方微信公众号,搜题查看答案

- 多项选择题4.器官移植患者预防CVM感染的正确措施是( )
A、移植前做好供体的筛选
B、不能选择CMV抗体阳性的供体
C、常规使用免疫球蛋白提高免疫力
D、CMV抗原血症无需预防性治疗
E、CVM pp65阳性应预防性治疗
F、输入少白细胞血制品
关注下方微信公众号,搜题查看答案

热门试题
- 气管切开术后的监护包括下列哪些内容A、对
- 1、目前患者需要进行下列哪些检查(
- 肺结核下列临床情况哪项是正确的A、急性粟
- 下列属于支气管肺泡灌洗禁忌证的是A、1个
- 1、最可能的诊断为2、尽快确诊应选择的检
- 慢性心力衰竭的基础病因包括( )A、
- 下列哪几种疾病表现为微血管病性溶血性贫血
- 原发性肺脓肿的好发部位是A、上叶前段B、
- 1、为明确诊断,下一步应作的检查是下列哪
- 下列属于肺癌局部扩展症状的是A、呼吸困难
- 1、目前患者身体活动正常,那么不适当的治
- 肺结核常有不同类型的发热需与哪些发热性疾
- 1、为明确诊断,患者还需进行下列哪些检查
- 下列抗结核药物中有细胞内杀菌作用的是A、
- 1、根据患者上述病史、体征及辅助检查结果
- 1、进行下列检查时,需要经患者知情同意的
- 1、其诊断思路应当是A、VAPB、HAP
- 1、可能的诊断有A、慢性支气管炎B、肺气
- 自发性气胸包括A、继发性自发性气胸B、张
- 间歇正压通气的特点有A、吸气期是正压B、