试题详情
- [材料题] 男,14岁,咳嗽,咯铁锈色痰,胸闷,胸痛3天,化验室检查:WBC=1.3×10⁹,ESR=18mm/h。
- 多项选择题1.你认为患者应进行哪些检查
A、X线平片
B、CT
C、MRI
D、US
E、ECT
关注下方微信公众号,搜题查看答案

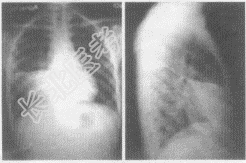
- 多项选择题2.患者行胸片正侧位检查,胸片图像表现如下, 你认为该患者应首先考虑哪些疾病

A、右肺中叶大叶性肺炎
B、右肺中叶肺癌
C、右肺中叶支气管扩张
D、右肺中叶结核
E、右肺中叶腺瘤
关注下方微信公众号,搜题查看答案

- 多项选择题3.诊断该病的依据有哪些?
A、患者,14岁,年龄较小
B、咳嗽,咯铁锈色痰,胸闷,胸痛3天
C、化验室检查:WBC=1.3×109,ESR=18mm/h
D、右中下肺野形成一片密度增高的阴影,与右心缘相连,其上缘锐利平直,由此向下逐渐变淡,移行至正常透亮的肺野,肋膈角清晰
E、侧位片上呈三角形,尖端指向肺门,底部紧接前胸壁或肋膈角,上缘以横裂为界,下缘为斜裂的前半部
关注下方微信公众号,搜题查看答案

- 多项选择题4.多长时间为病变的消散期?
A、1~2天
B、3~4天
C、5~6天
D、7~10天
E、10~15天
关注下方微信公众号,搜题查看答案

- 多项选择题5.复查时需要做哪些检查?
A、X线平片
B、CT
C、MRI
D、DSA
E、ECT
关注下方微信公众号,搜题查看答案

- 多项选择题6.典型病理变化分期
A、充血期
B、红色肝变期
C、灰色肝变期
D、模糊期
E、吸收期
关注下方微信公众号,搜题查看答案

热门试题
- 1、则以下最可能的诊断为A、周围型肺癌B
- 关于鼻咽部纤维血管瘤,表述正确的是A、为
- 关于食管癌的CT特点,下列描述哪些是正确
- 介入放射学常用的血管扩张剂为 (
- 眼眶平片示眼眶普遍性增大,常见于下列哪些
- 输卵管结核的X线表现有哪些A、管腔内干酪
- 1、该心型为2、结合临床本病应考虑为下列
- 较容易识别的脊柱骨性标志是 (
- 位于CT扫描架中的部件是 (
- 良性软组织肿瘤的MRI表现,正确的是A、
- CT扫描中出现伪影的原因是A、与病人有关
- 影响MR信号强度的因素是A、质子密度B、
- 生殖系统器官CT平扫时可清楚显示者有A、
- 关于下段胸椎压缩骨折,正确的摄片体位是
- 1、MR检查如图所示,病变主要累及
- 关于CR成像的叙述,正确的是 (
- 孕妇子宫肌瘤的MRI表现,下列正确的是A
- 鼻咽及喉部正常MRI表现有 (
- 1、CT诊断最可能为2、lCT诊断的主要
- 炎性假瘤弥漫炎症型的CT征象为 (