试题详情
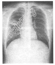
- [材料题] 某患者,女,38岁,以右下肢挤压伤入院,3日前突发高热、寒战、咳嗽,血WBC2.0×109/L,胸片如图:

- 多项选择题1.则以下最可能的诊断为
A、周围型肺癌
B、支气管扩张
C、肺栓塞
D、肺泡蛋白沉积症
E、肺结核
F、急性肺脓肿
关注下方微信公众号,搜题查看答案

- 多项选择题2.本病例需鉴别诊断的疾病包括
A、转移瘤
B、肺结核空洞
C、大叶性肺炎
D、支气管扩张
E、支气管肺炎
F、肺水肿
关注下方微信公众号,搜题查看答案

- 多项选择题3.为进一步了解病灶性质,行胸部CT扫描, 如图,则图中支持肺脓肿诊断的CT征象包括

A、跨叶分布的大片状高密度影
B、支气管充气征
C、液气平面
D、少量胸腔积液
E、纤维索条影
F、病灶密度不均其内见较低密度区
关注下方微信公众号,搜题查看答案

- 多项选择题4.可用于治疗后复查的影像检查方法为
A、全身核素扫描
B、胸部CT
C、肺核素灌注扫描
D、胸部MR
E、X线胸片
F、胸部听诊
关注下方微信公众号,搜题查看答案

热门试题
- 下列哪些盆腔肿块具有CT特征性表现A、卵
- 鼻咽及喉部正常MRI表现有 (
- 属于永久栓塞剂的是 ( )A、
- 1、你认为应该做哪些检查?2、患者做CT
- 影响MR信号强度的因素是A、质子密度B、
- 1、根据上述资料,还应该做哪些检查2、患
- 关于X线防护原则,正确的是A、合理降低个
- 喉和喉咽部CT检查方法正确的是A、层厚和
- 下列部位适合高电压摄影的是A、鼻咽腔B、
- 1、根据以上资料你认为应该做哪些检查:2
- 典型门静脉瘤栓的表现包括A、平扫时瘤栓密
- 下列脑实质型脑囊虫病CT特点的描述,正确
- 关于肺动脉高压,下列哪些是正确的A、肺动
- 1、HRCT显示如下图。
- 1、可能的临床拟诊为A、多形性成胶质细胞
- 以下符合鼻窦癌的描述是A、鳞状细胞癌多见
- 1、从题干临床表现,应首先考虑哪种疾病2
- 眶距过窄,常见于下列哪些疾病 (
- 1、你认为应做那些检查?2、患者所做检查
- 在常规MRI中,影响图像亮度和对比度的组