试题详情
- [材料题] 患者女性,24岁,右上腹痛3周,畏寒、高热3天,无皮肤及巩膜黄染。体检:体温39℃,脉搏106次/分,血压120/80mmHg。神志清楚,皮肤及巩膜无黄染,腹平软,肝脾不大,肝区有叩击痛。外周血白细胞12×109/L,中性粒细胞0.87;ALT:80U/L,ALP:20U/L,TBiL:17μmol/L。
- 多项选择题1.该患者的可能诊断有( )
A、胃肠道穿孔
B、肝内胆管结石
C、胆管癌
D、急性腹膜炎
E、胆囊结石
F、肝脓肿
G、急性胰腺炎
H、急性胆管炎
I、急性胆囊炎
J、肝外胆管结石
关注下方微信公众号,搜题查看答案

- 多项选择题2.可以为该患者安排哪些影像检查( )
A、腹部超声
B、腹部MRI
C、腹部X线片
D、腹部CTAD
E、腹部CT
F、腹部DSA
关注下方微信公众号,搜题查看答案

- 多项选择题3.首选影像检查是( )
A、腹部CTA
B、腹部X线片
C、腹部DSA
D、腹部MRI
E、腹部CT
F、腹部超声
关注下方微信公众号,搜题查看答案

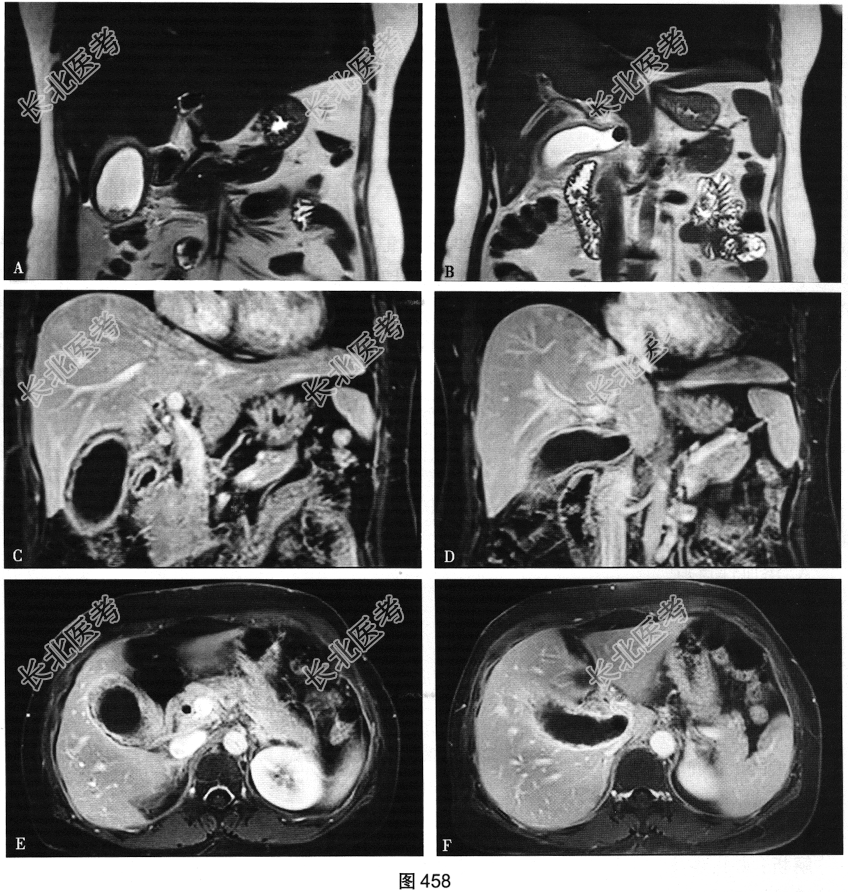
- 多项选择题4.[提示]患者行急诊超声检查发现异常,进一步行腹部增强MRI检查, 如图458所示。根据患者以上检查结果,考虑可能的诊断是( )

A、胆总管结石
B、肝脓肿
C、胆囊结石
D、肝内胆管结石
E、急性胰腺炎
F、急性胆囊炎
G、急性胆管炎
H、急性腹膜炎
I、肾结石
J、输尿管结石
K、胃肠道穿孔
关注下方微信公众号,搜题查看答案

- 多项选择题5.从患者病史和MRI图像推测,该患者急性发作伴感染表现的可能原因是( )
A、暴饮暴食
B、胆囊结构先天畸形
C、胆总管结石嵌顿
D、腹膜炎累及
E、肝内外胆管结构变异
F、大量饮酒
G、胆囊颈部结石嵌顿
关注下方微信公众号,搜题查看答案

热门试题
- 1、最有可能的诊断是2、若诊断为肝细胞性
- 1、患者入院后应选择下列哪些检查(
- 1、依据上述资料,该患者最可能的诊断是(
- 1、该患者应首先考虑A、肠梗阻B、肠扭转
- 慢性肝血吸虫病CT检查的主要表现为(
- 克罗恩(Crohn)病后期的肠外表现有哪
- 腹腔脓肿的MRI表现有( )A、脓肿
- 关于肝细胞癌的MRI表现,正确的是A、T
- 克罗恩病并发症有( )。A、脓肿形成
- 下述Gd-DTPA的特性描述,正确的是A
- 细菌性肝脓肿的主要感染途径包括A、胆道B
- 1、根据平扫下列疾病可能性最小的是2、对
- 下列有关副脾的说法正确的是A、最常见于脾
- 肝结核的病理分型目前尚无统一标准,比较常
- 1、最可能诊断为2、下列哪项是该病最具特
- 急腹症患者CT检查异常表现有 ( )A、
- 下列关于胃癌的描述,正确的是A、胃癌好发
- 下列哪些是胰腺MR扫描常规序列( )
- 绞窄性肠梗阻的X线征象为 (
- 肝淋巴瘤的特点有( )A、门静脉期病