试题详情
- [材料题]
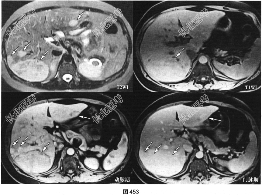
患者女性,45岁,有长期口服避孕药史,无明显不适。患者行上腹部MRI检查,如图453所示。

- 多项选择题1.依据上述资料,该患者最可能的诊断是( )
A、多发肝腺瘤
B、肝血管瘤
C、肝细胞癌
D、转移瘤
E、胆管细胞癌
F、淋巴瘤
关注下方微信公众号,搜题查看答案

- 多项选择题2.该病分子分型包括( )
A、异型细胞型
B、未分类型
C、炎症型
D、脂肪变性型
E、变异型
F、经典型
关注下方微信公众号,搜题查看答案

- 多项选择题3.该患者病变可能属于哪一种分型( )
A、脂肪变性型
B、经典型
C、炎症型
D、未分类型
E、异型细胞型
F、变异型
关注下方微信公众号,搜题查看答案

- 多项选择题4.该患者治疗方案首选( )
A、射频消融
B、TACE
C、放疗
D、化疗
E、定期随访
F、外科切除
关注下方微信公众号,搜题查看答案

热门试题
- 以下关于脂肪肝病因正确的是 ( )A、糖
- 下列哪些是观察胆囊生理功能的检查方法A、
- 肝血管瘤的诊断标准为 ( )A、平扫呈低
- 小肠Crohn病的X线征象包括 ( )A
- 慢性胰腺炎MRI表现包括A、胰腺肿大B、
- 1、最可能诊断为2、下列哪项是该病最具特
- 下列胆道梗阻的征象中,属恶性征象的是A、
- 良性溃疡X线征象中哪些正确A、I龛影突出
- 关于结肠癌的影像表现特点,正确的是A、肠
- 下列彼此关联的选项中,哪些是正确的
- 有关肝脂肪变性的描述正确的是A、肝硬化脂
- 肝淋巴瘤的特点有( )A、门静脉期病
- 龛影可见于哪些病变 ( )A、贲门失弛缓
- 关于FNH,叙述错误的有( )A、M
- 下列哪些是脾梗死的CT表现A、尖端朝向脾
- 1、诊断应考虑为2、先天性巨结肠患儿在做
- 克罗恩(Crohn)病好发部位是A、十二
- 早期食管癌根据大体病理形态分为 ( )A
- 克罗恩(Crohn)病后期的肠外表现有哪
- 闭袢性肠梗阻的X线征象是 ( )A、长液