试题详情
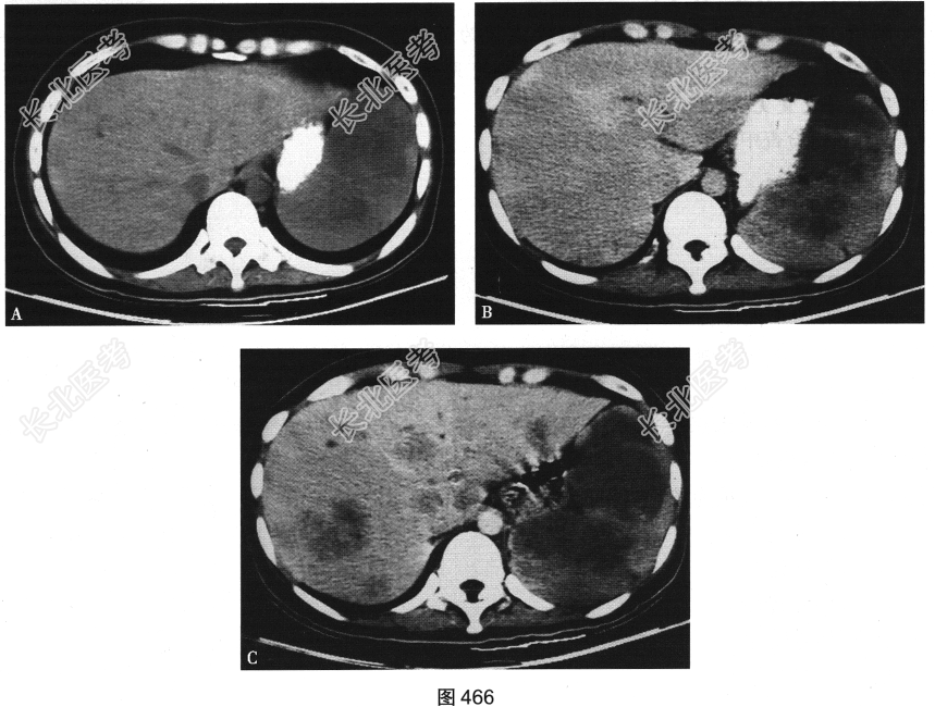
- [材料题] 患者男性,60岁,主诉腹痛2个月余,伴发热、消瘦及贫血。查体发现左上腹肿块。CT扫描见脾脏不均匀增大,内见多发低密度肿块,形态不规则,边界欠清,增强扫描呈不均匀边缘强化(图466)。

- 多项选择题1.该患者可能的诊断为( )
A、脾血管瘤
B、脾血管肉瘤
C、脾脓肿
D、脾囊肿
E、脾结核
F、白血病脾脏浸润
G、脾淋巴瘤
关注下方微信公众号,搜题查看答案

- 多项选择题2.[提示]患者行腹部CT检查,如图466所示。A、B为患者第一次检查时图像(A为CT平扫图像, B为CT增强扫描图像),C为患者45天后复查CT增强扫描图像。结合CT检查所见, 该患者的诊断为( )
A、脾结核
B、脾血管瘤
C、脾脓肿
D、脾囊肿
E、脾淋巴瘤
F、脾血管肉瘤
G、白血病脾脏浸润
关注下方微信公众号,搜题查看答案

- 多项选择题3.关于该患者可能的MRI表现,叙述正确的是( )
A、增强扫描早期呈边缘强化
B、延迟期病灶可完全充填
C、多伴有囊变
D、T2WI多呈高信号
E、T1WI多呈低信号
F、病灶强化有逐步向中心充填的趋势
关注下方微信公众号,搜题查看答案

- 多项选择题4.下列检查中最有助于诊断的是( )
A、腹腔镜手术探查
B、CT
C、MRI
D、DSA
E、B超
F、血清肿瘤标志物
关注下方微信公众号,搜题查看答案

- 多项选择题5.下列哪些选项为该患者可能出现的伴随征象( )
A、可伴淋巴结转移
B、可伴肝转移
C、可伴坏死出血
D、可伴钙化
E、可伴腹腔积液
F、可伴骨转移
关注下方微信公众号,搜题查看答案

热门试题
- 下列哪几项是胰腺癌的改变A、局部实质肿块
- “肠套叠灌肠复位”适应证有 ( )A、全
- 关于脾血管瘤,以下正确的是A、可单发或多
- 阑尾炎的X线表现有哪些 ( )
- 1、下述疾病哪一种可能性大2、首选检查方
- 胃良性溃疡的X线表现有 ( )A、环堤B
- 哪些征象与良性胃溃疡有关 (
- 溃疡型胃癌的X线征象包括A、僵硬B、放射
- 1、该患者的可能诊断有哪些( )A、
- 关于结肠癌的影像表现特点,正确的是A、肠
- 关于胆管细胞癌的说法,正确的是A、起源于
- 下述溃疡性结肠炎晚期表现,正确的是 (
- 胆囊癌的特点包括A、胆囊壁呈局限性或弥漫
- 胃溃疡的间接征象有 ( )A、胃分泌增加
- 绞窄性小肠梗阻常见原因A、扭转B、内疝C
- 关于肠系膜上静脉血栓形成,正确的描述是(
- 1、首先诊断2、对该病描述正确的是
- 下列哪些属于过敏性结肠炎X线表现 (
- 1、此病主要的病因可能为2、此病最初如何
- 食管造影通常可见下列哪些压迹A、主动脉弓