试题详情
- [材料题] 患者女性,38岁,间歇性右上腹痛4个月,疼痛向右肩部放射,伴有恶心、嗳气,无畏寒、发热,无皮肤、巩膜黄染。既往胃镜检查示浅表性胃炎。近3天,再次出现右上腹痛,向右肩部放射,伴有畏寒、发热。体检:体温39℃,脉搏90次/分,血压104/70mmHg。皮肤及巩膜黄染,上腹肌紧张,剑突下压痛,肝区有叩击痛。外周血白细胞13×109/L。
- 多项选择题1.该患者的可能诊断有哪些( )
A、胆囊结石
B、胃肠道穿孔
C、急性胆囊炎
D、急性胆管炎
E、急性腹膜炎
F、胆管结石
G、急性胰腺炎
H、胆管癌
关注下方微信公众号,搜题查看答案

- 多项选择题2.可以为该患者安排哪些影像检查( )
A、腹部超声
B、腹部CTAD
C、腹部DSA
D、腹部MRI
E、腹部X线片
F、腹部CT
关注下方微信公众号,搜题查看答案

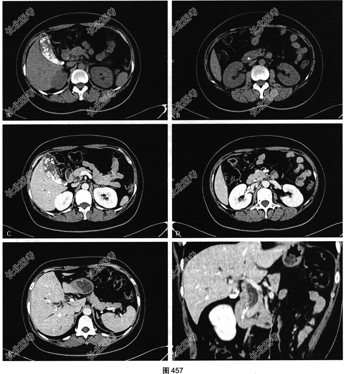
- 多项选择题3.[提示]患者急诊行CT检查,如图457所示。根据CT图像, 患者可能的诊断是( )

A、胃肠道穿孔
B、腹膜炎
C、肝内胆管结石
D、急性胰腺炎
E、肾结石
F、输尿管结石
G、胆囊炎
H、胆总管结石
I、胆管炎
J、胆囊结石
关注下方微信公众号,搜题查看答案

- 多项选择题4.胆石症的首选影像检查是( )
A、腹部CTAD
B、腹部DSA
C、腹部MRI
D、腹部X线片
E、腹部CT
F、腹部超声
关注下方微信公众号,搜题查看答案

- 多项选择题5.关于胆石症,正确的说法是( )
A、胆结石的MRI信号与其脂质成分多少以及是否有钙化相关,多数情况下胆结石表现为低信号
B、胆结石按化学成分可分为胆固醇结石和胆色素结石两种
C、胆囊结石与胆管结石的形成原因相同
D、胆固醇结石呈等密度
E、胆色素结石密度稍低
F、对阴性结石的检出,MRI优于CT
关注下方微信公众号,搜题查看答案

热门试题
- 关于胰腺炎的X线表现,描述正确的是 (
- 脾功能亢进介入治疗的禁忌证有 ( )A、
- 食管裂孔疝的间接X线征象有 ( )A、食
- 单纯性小肠梗阻常见原因是 ( )A、肠粘
- 克罗恩病并发症有( )。A、脓肿形成
- 肠结核的病理分型是 ( )A、
- 肝淋巴瘤的特点有( )A、门静脉期病
- 绞窄性小肠梗阻常见原因A、扭转B、内疝C
- 增殖性肠结核的X线表现有 ( )A、回盲
- 肝包虫病CT表现 ( )A、囊肿边缘光整
- 1、该患者的可能诊断有( )A、胃肠
- 下列有关副脾的说法正确的是A、最常见于脾
- 肝硬化可有以下CT表现A、右叶缩小,尾叶
- 1、与该患者最可能的诊断不相符合的CT表
- 1、最可能诊断为2、下列哪项是该病最具特
- 压力整复脱套成功的标准中,哪些是正确的
- 下列肠套叠的X线表现中,正确的有哪些
- 男性,50岁,有脂肪肝病史,CT发现稍高
- 肠套叠的主要临床症状包括 ( )A、呕吐
- 1、最可能诊断是A、脾血管瘤B、脾结核C