试题详情
- [材料题]
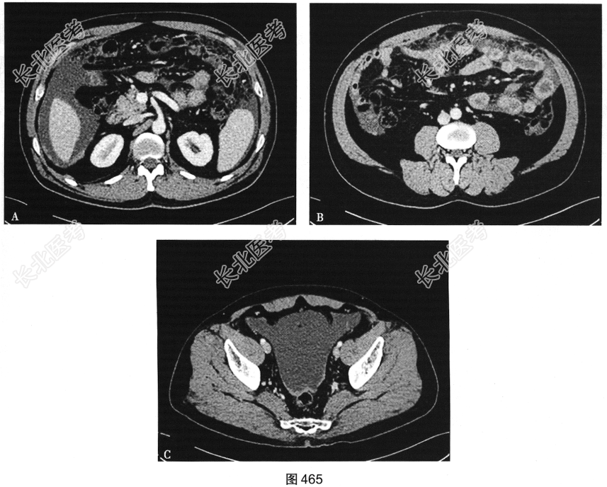
患者女性,40岁,卵巢癌术后1年,常规复查。行腹部CT检查,如图465所示。

- 多项选择题1.初步考虑诊断为( )
A、肾脏转移
B、局部复发
C、腹膜转移
D、未见转移
E、肝脏转移
F、脾脏转移
G、骨转移
关注下方微信公众号,搜题查看答案

- 多项选择题2.腹膜转移常与下列哪些疾病相鉴别( )
A、急性胰腺炎
B、腹膜间皮瘤
C、结核性腹膜炎
D、肝硬化腹膜改变
E、细菌性腹膜炎
F、肠系膜脂膜炎
关注下方微信公众号,搜题查看答案

- 多项选择题3.关于腹膜转移主要扩散方式,错误的是( )
A、肿瘤可以沿血液循环扩散到腹膜
B、肿瘤不能沿血液循环扩散到腹膜
C、肿瘤可以沿淋巴道扩散到腹膜
D、肿瘤不能沿淋巴道扩散到腹膜
E、腹膜原发肿瘤可以沿腹膜反折结构扩散
F、肿瘤突破脏器的脏腹膜或浆膜面,直接扩散到腹膜结构
关注下方微信公众号,搜题查看答案

- 多项选择题4.下列肿瘤相对较少发生腹膜转移的是( )
A、肝癌
B、卵巢癌
C、子宫内膜癌
D、宫颈癌
E、胃癌
F、结肠癌
关注下方微信公众号,搜题查看答案

热门试题
- 胰头癌低张十二指肠造影的X线征象为A、十
- 胃癌的X线造影征象有 ( )A、胃壁僵硬
- 肝癌的特征性CT表现为 ( )A、门脉瘤
- 肝脏淋巴瘤通常分 ( )A、结节型B、包
- 1、该患者的可能诊断有( )A、胃肠
- TIPSS术后并发症有 ( )A、肝性脑
- 男,64岁, 进食梗阻感半月。体检:咽充
- 下列关于肝血管瘤的描述,正确的是A、女性
- 属于胰腺外分泌性肿瘤者 ( )A、胰腺癌
- 空、回肠肿瘤的X线表现有 ( )A、充盈
- 下列关于肝腺瘤,说法不正确的是A、肿瘤通
- “肝内胆管积气”见于下列哪些疾病 (
- 关于肝淋巴瘤的叙述,正确的是A、继发较原
- 胰腺钙化可见于( )A、胰腺癌B、慢
- 1、该患者最可能的诊断是2、结肠癌病理分
- 属于功能性胰岛细胞肿瘤的有哪些 ( )A
- 脾内原发囊性病变可见于A、脾错构瘤B、脾
- 关于肝脂肪瘤,叙述正确的是( )A、
- 在正常腹平片上,不能显影的软组织影是
- 下列属于胃溃疡直接征象的是 (