试题详情
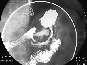
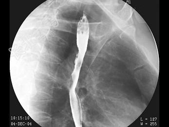
- 多项选择题男,55岁, 上腹饱胀不适2月,结合图像, 最可能的诊断是 ( )

A、正常表现
B、食管癌
C、食管静脉曲张
D、胃炎
E、胃癌
关注下方微信公众号,搜题查看答案

热门试题
- 1、请问CT图像中可见哪些影像学发现(
- 结核性腹膜炎的X线表现有( )。A、
- 胰头癌引起的十二指肠环改变为 ( )A、
- 肝血管平滑肌脂肪瘤的分型包括( )A
- 常可发生少血管型肝转移的是 ( )A、平
- 食管癌腔内型的X线特点是A、累及范围长B
- 胃肠道支架置入术的并发症有 ( )A、粘
- 溃疡性结肠炎X线检查可见到的征象有 (
- 有关原发性肝癌的MRI表现,论述正确的是
- 1、该患者可能诊断为( )A、胰腺炎
- 关于淋巴结转移癌,下列描述正确的是A、T
- 1、根据患者临床表现,首先考虑以下哪种疾
- 以下有关胃溃疡的叙述,正确的是( )
- 属于功能性胰岛细胞肿瘤的有哪些 ( )A
- 阑尾炎的X线表现有哪些 ( )
- 关于胰腺肿瘤的描述,正确的是A、胰腺癌占
- Freeny的肝血管瘤CT诊断三条标准为
- 1、初步考虑诊断为( )A、肾脏转移
- 下列肠套叠的X线表现中,正确的有哪些
- 1、患者入院后应选择下列哪些检查(