试题详情
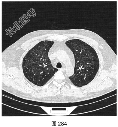
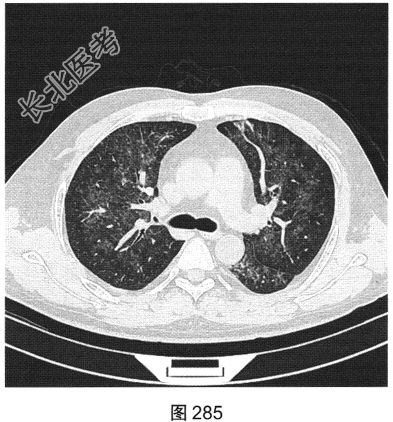
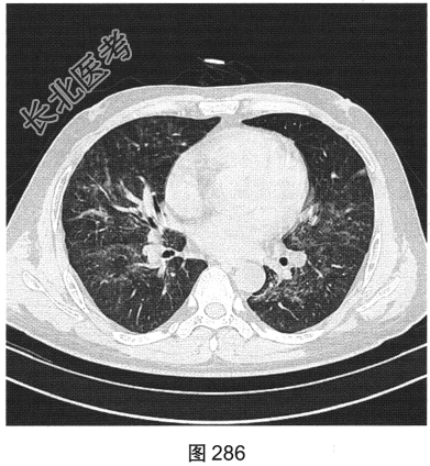
- [材料题] 患者男性,33岁,因“双下肢散在皮下出血点伴尿检异常3个月余,咳嗽、胸闷伴发热一周”就诊。患者脂肪肝、胆囊炎,服用莲葡双清片;随后几日内食用淡水鱼、鱿鱼、饮啤酒;5天后出现双下肢散在皮下出血点,未重视;10天后出现腹痛,在当地医院检查尿中有蛋白、定量不详,血常规检查正常,肾功能正常,应用醋酸泼尼松效果欠佳,行肾活检术,病理诊断:紫癜性肾炎,继发IgA肾病。患者每天静脉滴注甲泼尼龙0.5g,共3天,后改为口服甲泼尼龙28mg/d,共35天。一周前着凉后出现咳嗽、胸闷伴发热,体温达39.1℃,于当地医院抗炎治疗效果欠佳,遂来本院。实验室检查:血白细胞计数6.92×109/L,中性粒细胞0.845,CRP为2.7mg/dl。患者PP65阳性。胸部CT检查如图284~图287所示。




- 多项选择题1.患者的主要影像特征是( )
A、双下肺为著
B、伴细网格影
C、血管支气管束增厚
D、小叶中央结节
E、以磨玻璃密度为主
F、双肺弥漫分布
关注下方微信公众号,搜题查看答案

- 多项选择题2.根据患者病史和影像特征,您的诊断是( )
A、肺结核
B、巨细胞病毒感染
C、急性肺泡损害
D、外源性过敏性肺泡炎
E、肺水肿
F、肺孢子菌感染
关注下方微信公众号,搜题查看答案

- 多项选择题3.常用的临床检测方法包括( )
A、活检
B、痰检病原菌
C、抗体检测
D、mRNA蛋白检测
E、体液检测
F、抗原检测
关注下方微信公众号,搜题查看答案

- 多项选择题4.该病的常见影像表现有( )
A、空洞
B、双肺磨玻璃影
C、淋巴结增大
D、实变
E、小叶中央结节一树芽征
F、血管支气管束和小叶间隔增厚
关注下方微信公众号,搜题查看答案

热门试题
- 1、该患者最有可能的疾病是2、以下检查方
- 纵隔肿瘤的MRI特征中哪些正确 (
- 关于正常的肺部X线表现,叙述正确的是(
- 可能导致气胸的原因是A、胸部手术B、胸部
- 在诊断中心型肺癌方面,MRI表现有
- 结节病的X线征象包括 ( )A
- 支气管扩张症的正确表现有 ( )A、有肺
- 有关胸膜的描述哪些是对的 ( )A、分四
- 可引起支气管狭窄及闭塞的是 ( )A、异
- 下列哪些是肺静脉高压征象A、上肺静脉扩张
- 1、针对上述病例,下列哪种疾病可能性最大
- 下腔静脉滤器植入的适应证有 ( )A、复
- CT、MRI上有以下哪些表现,可提示胸腺
- 1、为明确病情,最优化的检查是( )
- 下列哪项征象提示肺结核并发肺癌可能A、成
- 关于乳房MRI成像技术,正确的有(
- 下列关于恶性胸膜间皮瘤的说法,正确的是A
- 1、你认为患者应该首先做哪些检查2、透视
- 与胸片、CT比较,MRI用于肺癌的诊断有
- 中央型肺癌较常见的组织学类型是 ( )A