试题详情
- [材料题] 患者男性,36岁,左胫骨骨折内固定术后3周,气促、呼吸困难4天,不伴发热、咳嗽、咳痰、胸痛、咯血等症状。双肺呼吸音粗,未闻及啰音,心率98次/分,律齐。血气分析:pH7.42,PaO266mmHg,PaCO231mmHg。
- 多项选择题1.为明确病情,最优化的检查是( )
A、经导管肺动脉造影
B、冠状动脉造影
C、胸部MRI+DWI检查
D、CT肺动脉成像
E、血浆D-二聚体
F、胸部CT平扫
关注下方微信公众号,搜题查看答案

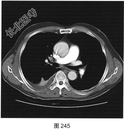
- 多项选择题2.[提示]一该患者行CT肺动脉成像,如图245所示。CT检查可见哪些阳性影像学表现( )

A、CT示右肺部分肺组织肺梗死
B、CT示右肺动脉主干栓子
C、CT示右侧胸腔少量积液
D、CT示肺动脉主干扩张
E、CT示右肺部分肺组织不张
F、CT示主动脉内夹层形成
关注下方微信公众号,搜题查看答案

- 多项选择题3.根据上述病史及影像学检查,提示该患者可能的诊断为( )
A、肺梗死
B、主动脉夹层
C、急性支气管炎
D、肺动脉栓塞
E、院内获得性肺炎
F、肺动脉扩张
关注下方微信公众号,搜题查看答案

- 多项选择题4.该患者进一步的治疗措施为( )
A、抗凝和溶栓治疗
B、肺动脉血管内球囊扩张
C、主动脉金属内支架置入术
D、肺动脉金属内支架置入术
E、行肺移植手术
F、若溶栓治疗无效或有溶栓禁忌证的患者,可采用手术取栓
关注下方微信公众号,搜题查看答案

热门试题
- 1、为了明确病情,患者应优先选择以下哪些
- 1、你认为患者应该首先做哪些检查2、透视
- 关于肺放射损伤,下述观点哪些不对 (
- 1、该患者最有可能的疾病是2、以下检查方
- 肺间质包含下列哪些成分A、肺泡间隔B、小
- 进展期中央型肺癌的瘤体CT征象可以有 (
- 单侧肺透亮度增加,可见于 ( )A、肺含
- 石棉肺患者易并发 ( )A、肺炎B、胸膜
- 肺隔离症MRI可见到的表现 (
- 下述哪种疾病,MRI诊断价值优于CTA、
- 胸壁结核可能的感染途径为A、邻近病灶直接
- 支原体肺炎需与下述哪种病变鉴别 ( )A
- 1、患者病变的影像特点包括( )A、
- 胸部CT片上,支气管气相可见于 ( )A
- 1、关于该患者CT图像,正确的描述是(
- 空洞为主型的继发性肺结核CT征象为 (
- 应与石棉肺鉴别的疾病有 ( )A、胸膜肥
- 呼吸系统USG的非适应证A、肺炎B、肺结
- 影像表现病变广泛而临床症状轻微的疾病有A
- 目前对支气管扩张的诊断重要方法是A、支气