试题详情
- [材料题]
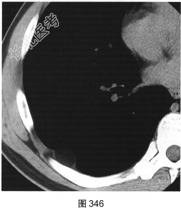
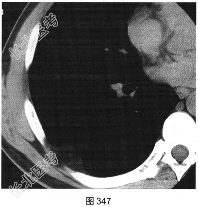
患者男性,43岁,平素健康,偶感深吸气时右后背部不适。近期该患者单位组织体检,在行胸部CT扫描时发现胸壁肿物,见图346、图347。


- 多项选择题1.关于该患者CT图像,正确的描述是( )
A、该肿物呈脂肪密度内伴致密线样影
B、该肿物两侧与胸壁相交呈钝角
C、该肿物可能起源于胸壁软组织
D、右后胸壁可见密度不均软组织肿物
E、右后胸壁可见液性密度包裹性肿物
F、增强后该肿物内部呈轻度不均匀强化
关注下方微信公众号,搜题查看答案

- 多项选择题2.依据该患者的CT表现特点,最可能的诊断是( )
A、胸壁脂肪瘤
B、胸壁纤维肉瘤
C、胸壁脂肪肉瘤
D、胸壁横纹肌瘤
E、胸壁包裹性积液
F、胸壁转移瘤
G、胸壁神经源性肿瘤
关注下方微信公众号,搜题查看答案

- 多项选择题3.需与胸壁脂肪瘤进行鉴别的疾病包括( )
A、胸壁包裹性积液
B、胸壁神经源性肿瘤
C、肋骨骨髓瘤
D、脂肪肉瘤胸壁转移
E、软骨黏液肉瘤
F、胸壁脂肪肉瘤
G、胸膜脂肪瘤
关注下方微信公众号,搜题查看答案

- 多项选择题4.针对本患者,下一步可采取的合理处理措施包括( )
A、可定期行影像学观察
B、可行放射治疗
C、可行外科手术治疗
D、定期行血液肿瘤标志物检测
E、可行介入或射频治疗
F、因疑似良性可不予理睬
关注下方微信公众号,搜题查看答案

热门试题
- 1、最可能的诊断为2、图中所示的支持此诊
- 下列关于肺转移瘤的描述,正确的是A、血行
- 1、肺内容易出现小叶间隔及血管支气管束增
- 易引起纵隔淋巴结钙化的原因包括( )
- 肺内病灶与钙化对应的关系,以下不正确的是
- 肺结核病可以见到的空洞为 ( )A、厚壁
- 肺内网状、蜂窝状阴影可见于下列哪些病变
- 关于特发性肺间质纤维化,正确的是A、为感
- 肺隔离症在诊断时需与以下哪些疾病鉴别 (
- 关于MRI对于胸腔积液的显示,错误的说法
- 胸壁结核可能的感染途径为A、邻近病灶直接
- 肺动脉高压时,可见到下列哪些X线影像A、
- 1、最可能的诊断是2、关于畸胎瘤叙述正确
- 与胸片、CT比较,MRI用于肺癌的诊断有
- 肺类风湿病的实验室检查多见A、血沉减慢B
- 结缔组织疾病的共同特点为 ( )A、患者
- 下列疾病,可有阻塞性肺不张表现的是A、结
- 单侧肺透亮度增加,可见于 ( )A、肺含
- 中央型肺癌常见到的阻塞性改变为 (
- 肺脓肿的可能病因包括A、上呼吸道感染的脓