试题详情
- [材料题]
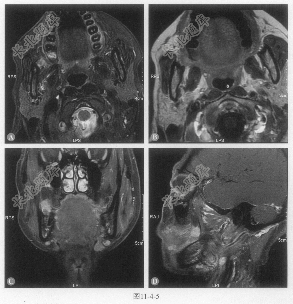
患者女性,47岁,右颊肿物8个月。8个月前活检病理:右颊上皮性肿瘤,鳞状上皮异形增生。复查MRI,表现如图11-4-5。

- 多项选择题1.病变描述正确的是:
A、病变累及右侧颊黏膜,形态不规则
B、深部累及颊间隙
C、同侧颊肌浸润
D、翼内肌前缘不清,可能累及
E、下颌骨升支前缘未累及
关注下方微信公众号,搜题查看答案

- 多项选择题2.再次活检证实,考虑黏液表皮样癌,上述影像特征中,提示病变恶性可能的征象是:
A、病变形态不规则,边界欠清
B、病变浸润同侧颊肌
C、病变累及颊间隙
D、病变累及翼颌间隙
E、病变累及咬肌间隙
关注下方微信公众号,搜题查看答案

- 多项选择题3.颈部淋巴结重点观察:
A、同侧颌下三角
B、对侧颌下三角
C、颏下三角
D、同侧颈Ⅱ区
E、对侧颈Ⅱ区
关注下方微信公众号,搜题查看答案

- 多项选择题4.对该患者,颈部淋巴结转移敏感性最高的检查是颈部:
A、增强CT
B、增强MRI
C、超声
D、PET
E、ECT
关注下方微信公众号,搜题查看答案

热门试题
- 输尿管狭窄可由多种疾病引起,虽可见于任何
- 静脉肾盂造影检查的禁忌证是:( )A
- 关于声门癌的MRI,以下正确的是:A、冠
- 关于颈静脉球瘤,说法错误的是:A、多发生
- 周围型肺癌主要见于哪些组织学类型(
- 男,2岁,头痛。CT轴位平扫示:双侧额顶
- 下列属于心脏摄片检查体位的是( )A
- 盆腔子宫内膜异位症最常见的部位是A、宫骶
- 关于胼胝体毗邻结构正确的说法是( )
- 下列人体组织器官CT值低于0的是A、肝脏
- 对脊柱结核的检查,CT优于平片在于显示(
- 视神经管内通过的结构为:A、视神经、眼动
- 1、该患者的影像学表现(图1-4-4)包
- 下列甲状腺内的结节,其外周常见暗环的是A
- 患者女性,52岁。一周前体检时发现左上肺
- 关于X线照片影像的形成要素,不包括:(
- 良性肿瘤适应做动脉栓塞治疗,以下选项中不
- 呈扁平样生长的脑膜瘤多发生在( )A
- 1、诊断考虑为2、若双侧对比差异不大时,
- 女性,30岁。Graves病患者,抗甲状