试题详情
- [材料题] 患者男性,48岁,左眼无痛性上睑下垂、上视受限,但瞳孔大小及对光反射正常。
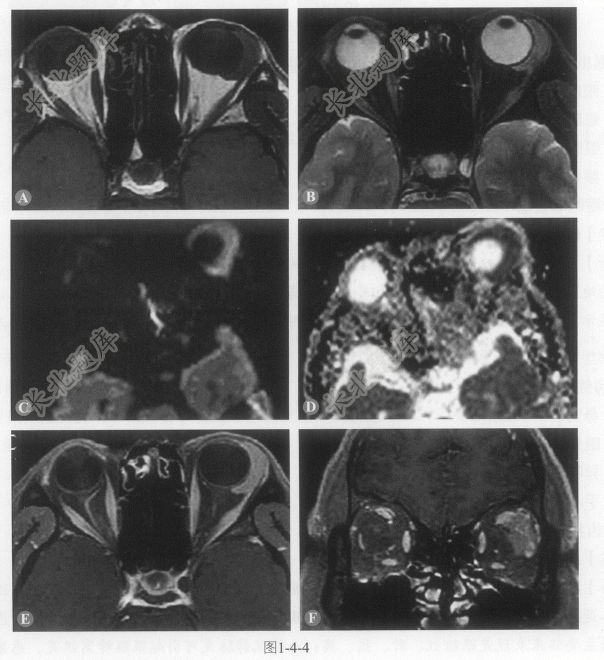
- 多项选择题1.该患者的影像学表现(图1-4-4)包括:

A、左侧泪腺区占位
B、瘤体呈铸型生长,部分包绕眼球,占位效应不明显,无明显眶壁骨质破坏
C、肿瘤信号均匀,在T
WI呈等信号,T2WI呈略高信号D、肿瘤DWI序列呈高信号,表观扩散系数(apparent diffusion coefficient,ADC)图显示扩散受限
E、肿瘤增强呈中度均匀强化
关注下方微信公众号,搜题查看答案

- 多项选择题2.根据临床及影像学表现,最可能的诊断是:
A、泪腺腺样囊腺癌
B、炎性病变
C、泪腺混合瘤
D、淋巴瘤
E、绿色瘤
关注下方微信公众号,搜题查看答案

- 多项选择题3.本病例病理为MALT淋巴瘤,其常规治疗原则和方案为:
A、激素试验性冲击治疗
B、细针穿刺+术后化疗
C、手术切除局部病变+术后放疗
D、手术切除局部病变+术后化疗
E、手术切除局部病变
关注下方微信公众号,搜题查看答案

热门试题
- 膈下脓肿常见并发症为:( )A、门静
- 男性,37岁。饮酒后突发上腹部剧痛20分
- 右肝前叶与后叶的分界标志是:( )A
- 2岁以内小儿颅脑超声扫查的最常用窗为:(
- 男性,72岁,M型超声显示二尖瓣前叶曲线
- 若某肿瘤可检测到CD20,则该肿瘤可能属
- 关于骨肉瘤的MRI检查描述,下列哪项不对
- 不宜做眼及眶部CT扫描的是A、眼球及眶内
- 面神经管分( )A、2段B、3段C、
- 若欲定量与定向分析流体,宜采用( )
- 根据CT工作原理,X线穿过人体后首先接收
- 正中孔梗阻引起扩张的脑室是 (
- Meckel腔内的结构是:A、舌咽神经B
- 超声多普勒技术可用来检查:( )①血
- 关于异位甲状腺的叙述,错误的是:A、胚胎
- 突起剧烈腹痛的年轻女性病人超声检查发现盆
- 左侧位心脏照片上,心后缘与食管前间隙消失
- 新生儿头颅CT平扫示"矢状窦旁征"。提示
- 人的肉眼从黑到白能分辨多少个灰度层次(灰
- 我国肝癌病理协作组制定的小肝癌的诊断标准