试题详情
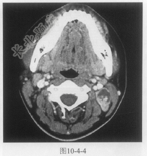
- 单项选择题患者女性,21岁,发现左颈肿物1个月,如图10-4-4,以下诊断最可能的是:

A、左侧颈部淋巴管瘤
B、左侧颈部淋巴结转移
C、左侧颈部鳃裂囊肿
D、左侧颈部淋巴结结核
E、左侧颈部神经鞘瘤
关注下方微信公众号,搜题查看答案

热门试题
- MRI诊断椎间盘突出的重要意义在于(
- 第一个系统阐述了介入放射学概念,并形成共
- 表示空间分辨率的单位是A、半值全宽B、对
- 有关右心室的描述,错误的是A、是心腔最靠
- 疑为前置胎盘的孕妇进行超声检查时应A、不
- 甲状舌管囊肿的影像学表现错误的是:A、X
- 正常胰腺头、体、尾各部前后径的超声测值为
- 需与多发性硬化鉴别诊断的疾病有下列哪些(
- 心源性水肿的特点正确的一项是A、从眼睑面
- 胆囊壁增厚是由于A、右心衰竭B、低蛋白血
- 吸入性肺脓肿的好发部位是下列哪项(
- 儿童化脓性骨髓炎不易进入关节腔的原因是(
- 对影像半影模糊的控制阈值为A、0.20m
- 喉部的CT扫描范围应该是( )A、舌
- 肺门舞蹈这一X线征象见于A、心肌炎B、法
- 下列表现为邻近骨质虫噬状性骨质破坏的疾病
- 以下对比剂的描述,哪项不正确( )A
- 1、病变定位于:2、以下对淋巴结描述正确
- 多发性硬化的病理改变为( )A、炎性
- X线呈矢状方向从患者的后方垂直射入胶片时