试题详情
- [材料题]
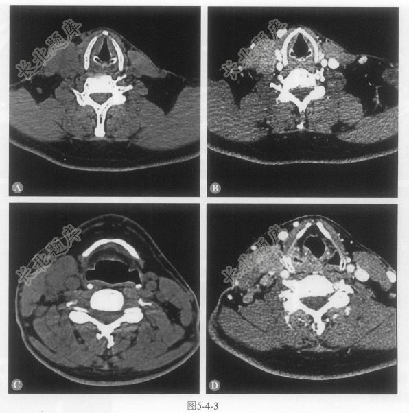
患者男性,46岁,慢性起病,主因发现右侧颈部肿物2年6个月入院。患者于入院前2年6个月发现右侧颈部肿物。查体示:右侧颈部胸锁乳突肌中1/3水平可触及肿物,质硬,与周围组织界限不清,大小约3cm×3cm×2cm(图5-4-3)。

- 多项选择题1.病变定位于:
A、杓会厌皱襞
B、室带
C、声带
D、会厌
E、咽后壁
关注下方微信公众号,搜题查看答案

- 多项选择题2.以下对淋巴结描述正确的是:
A、右侧颈部Ⅱ、Ⅲ、Ⅳ、Ⅴ区多发肿大淋巴结
B、淋巴结部分融合
C、淋巴结于增强后可见明显均匀强化
D、淋巴结与右侧胸锁乳突肌分界不清
E、淋巴结边缘模糊不清
关注下方微信公众号,搜题查看答案

- 多项选择题3.转移淋巴结累及结构包括:
A、胸锁乳突肌
B、颈内静脉
C、副神经
D、颈内动脉
E、甲状软骨
关注下方微信公众号,搜题查看答案

- 多项选择题4.该病变的分期为:
A、T2N

B、T3N

C、T3N2
D、T
N2E、T
N3
关注下方微信公众号,搜题查看答案

热门试题
- Meckel腔内的结构是:A、舌咽神经B
- 下列关于脑血流灌注显像剂特性的说法中,错
- CT扫描的优点不包括( )A、密度分
- 有关胃肠道出血显像时如何提高小量间歇性出
- 下列哪种显像检查不能服用过氯酸钾:(
- 亲心肌梗死显像的临床应用( )A、急
- 脑肿瘤强化程度主要取决于( )A、血
- 下面药物中不是溶栓药物的是A、双香豆素B
- 某男,35岁。反复上腹疼痛8年,进食后可
- 以下有关急性深静脉血栓的描述,正确的是A
- MRI为了观察心房与心室的关系,主动脉根
- 若发现患者有多囊肝,应特别注意检查的其他
- 关节基本病变的X线表现为( )A、关
- 患儿急起发热、咳嗽、气促,胸片示双下肺斑
- 下列哪项为确诊肺动静脉瘘首选的检查方法为
- 胆囊癌转移最常见的途径是:( )A、
- 下列关于纵隔神经源性肿瘤描述,正确的是(
- 中心性脑桥髓鞘溶解的常见病因是( )
- 脑静脉和静脉窦血栓形成的特征表现是(
- 关于心肌血流灌注显像的临床应用,下列正确