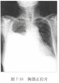
试题详情单项选择题女性,28岁,胸痛半月,X线图像见图7-16,X线诊断为( )。A、右侧胸腔积液B、右下肺结核C、右下肺炎D、右下肺癌正确答案:关注下方微信公众号,搜题查看答案热门试题血hCG检测心脏扩大男性,60岁,摔伤20min,下肢X线图血清氨基转移酶房性期前收缩检查血清碱性磷酸酶(ALP)血清钠参考值脾外伤血清总胆红素(STB)和结合胆红素(CB血清铁测定铁蛋白(SF)正常心电图检查男性,44岁,进行性咽下困难2周,食管造正常胸部正位片粪便潜血试验(occult blood 正常腹部平片典型浸润型肺结核急性硬膜下血肿胃癌肢体骨折正、侧位片