试题详情
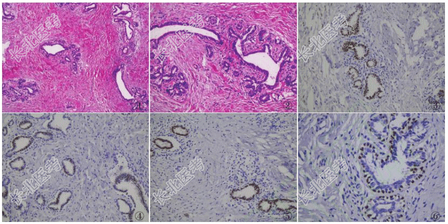
- [材料题] 患者女性,41岁,因外阴肿物3年就诊。妇科检查:右侧大阴唇外侧皮下触及大小1cm×1cm肿块,表面皮肤色泽正常,肿物略高出皮面,质偏硬,轻压痛,界限清,移动度可。遂行外阴肿物剥除术,术中见肿块位于右侧大阴唇外侧皮下,质较硬,与周围组织分界清楚,肿块表面包膜完整。眼观:灰白色肿物1枚,大小1cm×1cm×0.5cm,包膜完整,切面灰白色,质韧。镜检:低倍镜下肿瘤由上皮和间叶成分构成,上皮成分类似乳腺小叶结构,间质纤维胶原组织增生,围绕在小叶末端小导管和腺泡周围(图1),形态学类似乳腺的管周型纤维腺瘤;高倍镜下小叶内的导管和腺泡均由内层的腺上皮和外层的肌上皮构成,腺上皮细胞核圆形,可见小核仁,胞质嗜酸且丰富,可见顶泌反应,腺腔内有红染的分泌物(图2)。免疫表型:内层腺上皮表达ER(图3)、PR(图4)和GaTa3(图5),外层肌上皮表达P63(图6)。
病理诊断:外阴纤维腺瘤,来源于特化的肛门生殖器乳腺样腺体。
- 简答题1、外阴纤维腺瘤(来源于特化的肛门生殖器乳腺样腺体)的病因是什么?
关注下方微信公众号,搜题查看答案

- 简答题2、外阴纤维腺瘤的发病机制是怎样的?
关注下方微信公众号,搜题查看答案

- 简答题3、外阴纤维腺瘤的临床表现有哪些,该患者有何表现?
关注下方微信公众号,搜题查看答案

- 简答题4、如何诊断外阴纤维腺瘤,该患者的诊断依据是什么?
关注下方微信公众号,搜题查看答案

- 简答题5、外阴纤维腺瘤的治疗方法有哪些,该患者采取了什么治疗措施?
关注下方微信公众号,搜题查看答案

- 简答题6、外阴纤维腺瘤的预后和预防措施分别是怎样的?
关注下方微信公众号,搜题查看答案

热门试题
- 简述全生命周期主动健康科普的实施策略有哪
- 简述EBER 原位杂交的标准化操作流程包
- 简述重分析的启动时机与核心内容是什么?
- 简述病原宏基因组测序(mNGS)的适用场
- 简述EBER 原位杂交检测技术的临床意义
- 简述HoFH 的药物治疗策略及新兴疗法有
- 简述共识中呼吸道传染性病原微生物的分级原
- 简述全生命周期主动健康科普的共性内容包括
- 简述临床基因组测序(cGS)的核心流程包
- 简述全生命周期主动健康科普体系的建立步骤
- 简述基因型驱动与表型驱动分析策略的区别是
- 简述 “X 疾病” 及新发突发病原体的应
- 简述不同生命周期阶段的科普重点有哪些?
- 简述肺血栓栓塞症(PTE)的常见临床表现
- 1、该患者诊断为原发性肺球孢子菌病的依据
- 简述微量肉汤稀释法(MTB)的核心优势有
- 简述MTB 法生物安全要求有哪些?
- 1、先天性弓形虫病的传播途径有哪些,这对
- 简述EBER 检测中质量控制的核心措施有
- 简述献血者 ALT 检测值升高的非病理性