试题详情
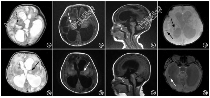
- [材料题] 患儿a,女,30天,双胞胎姐姐,胎龄35周,因胎膜早破剖宫产出生,出生时体重1.44KG,羊水清,无窒息抢救史,出生后aPGaR评分为10分。于外院行眼底检查发现双眼视网膜病变,遂来我院检查,眼底检查提示“右眼弓形虫病变?左眼早产儿视网膜病变”,查体:头围32cm,骨缝增宽,前囟饱满,全身轻度花斑纹,其他无异常。否认发病前14天内曾接触活禽或野生动物。MRI:左侧侧脑室前角旁见斑片状短T1、长T2信号;右侧侧脑室后角前方见片状短/长T1、长T2信号,边缘见环状短T2信号;双侧额叶、右侧顶颞枕叶见大片状长T1、长T2信号。透明隔腔、双侧侧脑室、第三脑室、第四脑室扩大。扩散加权成像示右侧基底节区边缘环形高信号、中央低信号病灶,大小约57MM×64MM。磁敏感成像示左侧侧脑室前角旁、右侧侧脑室后角前方局部斑点状相位图、幅度图低信号(图1)。
患儿B,女,51天,双胞胎妹妹,出生体重1.7KG。因早产儿眼底复查来我院门诊就诊,眼底检查发现右眼可疑弓形虫感染病灶。眼科检查:双眼有追光,球结膜无充血,角膜透明,前房清,瞳孔药物性散大,直径约7MM,晶状体透明。体格检查:前囟饱满,大小约25MM×25MM,双肺呼吸音粗,无啰音,四肢肌张力正常。MRI:左侧丘脑见一类圆形长T1、长T2信号,大小约9MM×9MM;dWI呈中心低信号、周围高信号,边界清晰。双侧基底节见斑片状短T1、短T2信号;双侧额颞顶枕叶见片状长T1、长T2信号。双侧脑室、第三及第四脑室明显扩张;头颅SWI示右侧颞叶、右侧枕叶斑片状相位图、幅度图低信号(图2)。
诊治过程,患儿a,送手术室在全麻下行右眼前房穿刺术(取出房水50μL送检),手术顺利,外送检验所检测报告:眼内液弓形虫IGG 84.17IU/ML,血清弓形虫IGG 142.24IU/ML,GOLdMaNN-WITMER系数9.16。本院实验室检查:弓形虫IGM 0.23aU/ML,IGG>400.00IU/ML,经复方磺胺甲噁唑(20MG/KG/次,q6h)抗弓形虫治疗后复查右眼眼底病灶有所吸收,最后诊断为先天性弓形虫病。患儿B,其双胞胎姐姐已明确诊断为先天性弓形虫病,影像表现和临床症状与其姐姐相似,实验室检查:弓形虫IGM 0.21aU/ML,IGG>400.00IU/ML,最后诊断为先天性弓形虫病。

- 简答题1、先天性弓形虫病的传播途径有哪些,这对预防有什么启示?
关注下方微信公众号,搜题查看答案

- 简答题2、结合该双胞胎患儿情况,先天性弓形虫病的临床表现有哪些?
关注下方微信公众号,搜题查看答案

- 简答题3、先天性弓形虫病的影像特点有哪些,该双胞胎患儿的MRI表现如何符合这些特点?
关注下方微信公众号,搜题查看答案

- 简答题4、如何诊断先天性弓形虫病,该双胞胎患儿的诊断依据是什么?
关注下方微信公众号,搜题查看答案

- 简答题5、先天性弓形虫病需要与哪些疾病鉴别,鉴别要点是什么?
关注下方微信公众号,搜题查看答案

热门试题
- 简述MTB 法操作流程中需注意哪些关键点
- 简述共识中呼吸道传染性病原微生物的分级原
- 简述HoFH 的临床诊断标准及基因诊断意
- 简述组织固定对 EBER 检测的影响及操
- 简述出凝血功能检测在 PTE 溶栓治疗中
- 简述国际上 ALT 筛查策略有哪些调整?
- 简述肺血栓栓塞症(PTE)的常见临床表现
- 简述不同生命周期阶段的科普重点有哪些?
- 简述献血者 ALT 检测值升高的非病理性
- 简述EBER 原位杂交的标准化操作流程包
- 简述HoFH 的多学科管理模式包括哪些内
- 简述肝素诱导的血小板减少症(HIT)的诊
- 1、结合该患者情况,简述椎管内间叶性软骨
- 简述cGS 数据质量控制包含哪些层面?具
- 简述cGS 检测申请单需包含哪些关键信息
- 简述普通肝素(UFH)抗凝治疗的监测方法
- 1、该患者诊断为原发性肺球孢子菌病的依据
- 1、SAPHO综合征的典型特征和发病机制
- 简述临床基因组测序(cGS)的核心流程包
- 简述现行 ALT 筛查策略在实践中面临哪