试题详情
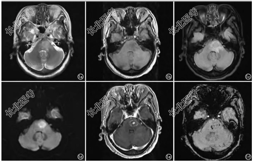
- [材料题] 患者,女,66岁,因“头痛1周,外院CT提示脑干占位1天”入院。患者一周前无明显诱因出现头痛不适,期间未行特殊治疗,1天前因头痛症状无好转,于外院行头颅CT检查发现脑干占位,为明确诊断遂来我院就诊。既往史及体格检查无特殊。脑脊液生化:氯132.8Mmol/l(110~130Mmol/l),葡萄糖2.26Mmol/l(2.5~4.4Mmol/l),尿总蛋白1866.9MG/L(150~450MG/L);脑脊液常规检查:潘氏试验阳性(1+);细胞因子七项:白细胞介素-6 36.98PG/ML(0.00~9.10PG/ML)。头颅MRI平扫+增强:脑内多发斑片状T1WI低信号和T2WI高信号,T2-FLaIR呈高信号,较大病灶位于脑桥,dWI序列呈环状高信号,对应adC图呈低信号,磁敏感加权成像病灶内部及周围见线状及点状低信号,大小约1.4cm×1.1cm×2.1cm,增强扫描呈环状强化,其内见结节状明显强化(图1)。脑脊液病原微生物宏基因组检测(dNa+RNa):狒狒巴拉姆希阿米巴,检出序列数12036,相对丰度99.19%,置信度高。

- 简答题1、该患者被诊断为狒狒巴拉姆希阿米巴脑炎的关键依据是什么?
关注下方微信公众号,搜题查看答案

- 简答题2、狒狒巴拉姆希阿米巴脑炎的流行病学特点有哪些,该患者符合哪些特点?
关注下方微信公众号,搜题查看答案

- 简答题3、从该患者的检查结果看,狒狒巴拉姆希阿米巴脑炎的MRI影像学表现有哪些?
关注下方微信公众号,搜题查看答案

- 简答题4、狒狒巴拉姆希阿米巴脑炎需要与哪些疾病进行鉴别诊断,与该患者情况如何区分?
关注下方微信公众号,搜题查看答案

- 简答题5、狒狒巴拉姆希阿米巴脑炎的治疗方法是什么?
关注下方微信公众号,搜题查看答案

- 简答题6、狒狒巴拉姆希阿米巴脑炎的预后情况?
关注下方微信公众号,搜题查看答案

热门试题
- 简述如何通过遗传阻断预防 HoFH?
- 1、结合患者情况,从现有研究分析马德龙病
- 简述国际上 ALT 筛查策略有哪些调整?
- 简述EBER 检测中样本保存与预处理的特
- 简述HoFH 的多学科管理模式包括哪些内
- 简述cGS 检测申请单需包含哪些关键信息
- 简述 “X 疾病” 及新发突发病原体的应
- 简述MTB 法操作流程中需注意哪些关键点
- 简述肝素诱导的血小板减少症(HIT)的诊
- 简述出凝血功能检测在 PTE 护理中的质
- 简述基因型驱动与表型驱动分析策略的区别是
- 简述 MTB 法药敏板设计的关键原则?
- 简述MTB 法质量控制包含哪些内容?
- 1、先天性弓形虫病的传播途径有哪些,这对
- 简述cGS 检测报告应包含哪些关键要素?
- 简述肺血栓栓塞症(PTE)的常见临床表现
- 简述微量肉汤稀释法(MTB)的核心优势有
- 简述如何保障 ALT 检测结果的准确性与
- 1、先天性小睑裂综合征(BPES)的遗传
- 简述普通肝素(UFH)抗凝治疗的监测方法