试题详情
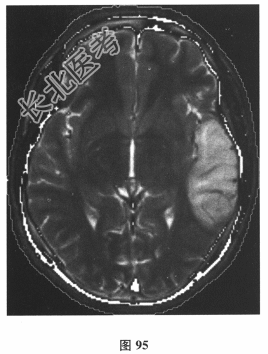
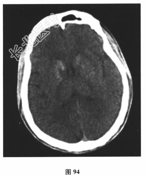
- [材料题] 患者男,24岁。由于“反复发作性四肢抽搐3个月,言语困难1d”到院就诊。3个月前饮酒后出现四肢抽搐、意识丧失,持续3min左右自行缓解;10d前再发一次四肢抽搐。遂行颅脑CT(图94)及MRI平扫检查(图95)后予丙戊酸钠对症治疗。1d前再发四肢抽搐,出现言语困难。其母亲有糖尿病病史。查体:身材矮小,意识清楚,感觉性失语,四肢肌力、肌张力正常,腱反射对称活跃,深、浅感觉正常,病理反射未引出,脑膜刺激征(-)。脑脊液:压力110mmH₂O,细胞、蛋白、葡萄糖、氯化物均正常,乳酸3.6mmol/L↑。

- 简答题1、该患者最可能的诊断是
关注下方微信公众号,搜题查看答案

- 简答题2、追问病史,患者平素有发作性头痛、耳鸣,活动后容易疲劳。有助于明确诊断的检查是
关注下方微信公众号,搜题查看答案

- 简答题3、静息及运动乳酸水平明显升高,mtDNA A3243G突变阳性。住院第2天患者再发类似的四肢抽搐,可以选用的药物包括
关注下方微信公众号,搜题查看答案

- 简答题4、线粒体脑肌病伴高乳酸酸血症和卒中样发作MELAS的EEG表现是
关注下方微信公众号,搜题查看答案

- 简答题5、患者癫痫控制后,进一步的治疗主要包括
关注下方微信公众号,搜题查看答案

热门试题
- 1、急诊应先重点完善的检查包括2、完善头
- 1、依据患者临床体征,病变累及的神经系统
- 1、森田疗法的主要适应证为2、按照森田疗
- 1、为明确诊断此患者需要进行的检查项目包
- 1、急诊应尽快完善哪些检查2、脑脊液:压
- 1、此患者最可能的诊断是2、该病的脑电图
- 1、初步考虑该患儿的诊断最可能是2、孤独
- 1、该患者最可能的诊断是2、追问病史,患
- 1、此患者初步诊断须考虑2、为明确诊断,
- 1、该患者的主要症状是?2、该患者可能诊
- 1、有利于症状评定的量表包括2、针对于该
- 1、哪些有助于了解病史2、本患者最可能的
- 1、该患儿的癫痫发作属于2、其主要临床特
- 1、以上资料提示该患者可能存在哪些精神症
- 1、该患者需进行的检查包括2、该患者头颅
- 1、该患者应该首先考虑的诊断是2、可能的
- 1、该患儿应考虑哪些诊断2、临床上用于评
- 1、为明确诊断,还应进行的检查包括2、住
- 1、本病的诊断为2、本病常见的病因有3、
- 1、那么最可能的诊断是2、其特征性的病理