试题详情
- [材料题] 患者女,49岁。由于“发作性幻视、头痛3年,发作性言语错乱1个月”就诊。3年前患者无明显诱因出现发作性幻视、头痛、眼眶痛;颅脑MRI示左枕叶病灶,给予激素等药物治疗病情好转,复查颅脑MRI病灶消失。1个月前患者出现发作性言语错乱,当地医院给予“泼尼松”、“丙种球蛋白”治疗,症状有所好转。既往有甲状腺功能减退病史。神经系统查体:无阳性体征。甲状腺功能正常。
- 简答题1、为明确诊断此患者需要进行的检查项目包括应有
关注下方微信公众号,搜题查看答案

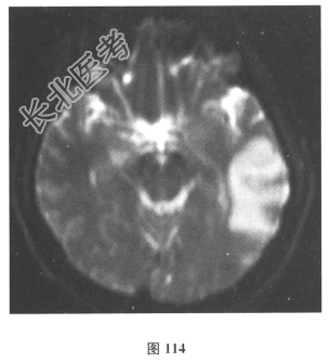
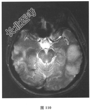
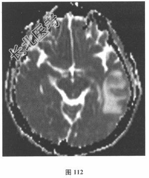
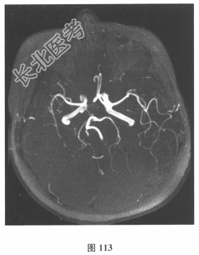
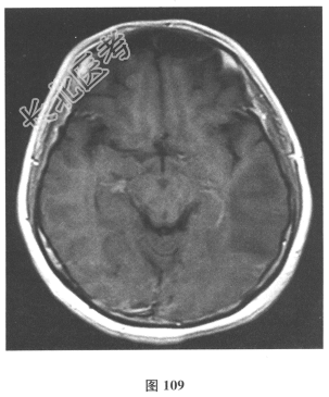
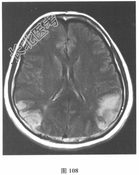
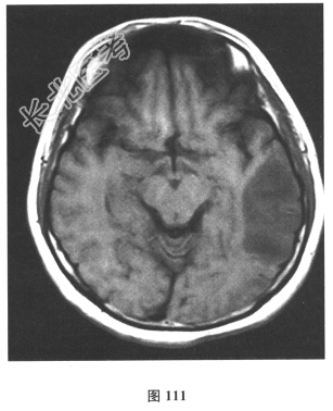
- 简答题2、脑脊液检查:常规、生化均正常,CSF-病毒TORCH(-),抗Hu、Yo、Ri均阴性,OB、MBP正常。血清抗Hu、Yo、Ri均阴性。颅脑MRI显示左颞枕、右顶枕多发长T₁、长T₂信号,Flair高信号,病变累及皮质及皮质下白质,病灶无强化,见图108~图114。根据颅脑MRI,需要鉴别的疾病应是

关注下方微信公众号,搜题查看答案

- 简答题3、患者平静状态下血乳酸未见堆积现象,小于2mmol/L,活动15min后血乳酸未见异常增高(应与平静状态下差值大于4mmol/L)。HE病理染色病理肌红纤维明显病变。因此考虑患者可能性最大的疾病是
关注下方微信公众号,搜题查看答案

- 简答题4、该病的EEG表现是
关注下方微信公众号,搜题查看答案

热门试题
- 1、该患者诊断首先要考虑2、对此患者目前
- 1、患儿的主要症状是2、患儿的可能诊断是
- 1、患者的头痛和张口乏力、咀嚼困难是否可
- 1、初步考虑该患儿的诊断最可能是2、孤独
- 1、森田疗法的主要适应证为2、按照森田疗
- 1、该患者最可能的诊断是2、该病的EEG
- 1、根据症状首先考虑2、为进一步明确诊断
- 1、为明确诊断此患者需要进行的检查项目包
- 1、依据患者临床体征,病变累及的神经系统
- 1、初步诊断为2、可能的EEG表现是3、
- 1、此患儿最可能的诊断考虑为2、该患儿同
- 1、本例中脑梗死与脑出血的鉴别中,最重要
- 1、哪些有助于了解病史2、本患者最可能的
- 1、此患者最可能的诊断是?2、该患者可能
- 1、采集病史时应特别重视?2、进行精神状
- 1、本病的诊断为2、本病常见的病因有3、
- 1、患者首选检查为2、患者病史中对诊断有
- 1、首先应采取的治疗措施为2、最可能的诊
- 1、该患儿的癫痫发作属于2、其主要临床特
- 1、该患者目前最可能的诊断为2、临床上该