试题详情
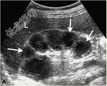
- [材料题] 患者女,40岁,因“尿频、尿急、尿痛及血尿3个月”来诊。尿常规:大量白细胞和少量红细胞。声像图表现见下图。

- 简答题1、其超声诊断包括哪些?
关注下方微信公众号,搜题查看答案

- 简答题2、为明确诊断,需要进一步检查什么?
关注下方微信公众号,搜题查看答案

- 简答题3、如不及时治疗,该病还可能累及哪些部位?
关注下方微信公众号,搜题查看答案

- 简答题4、该病在体内的播散的方式有哪些?
关注下方微信公众号,搜题查看答案

热门试题
- 1、该患者的诊断是什么?2、肺栓塞的诊断
- 1、患者可能的诊断是什么?2、该病的病因
- 1、患者可能诊断为什么?2、若诊断明确为
- 1、患者的诊断及依据是什么?2、桥本甲状
- 1、患者目前应考虑的疾病有哪些?2、为明
- 1、为明确诊断,建议的检查包括哪些?2、
- 1、最可能的诊断是?2、提示:该患者应用
- 1、患者最可能的诊断是?2、与酒精性肝病
- 1、该患者最可能的诊断是?并给出诊断依据
- 1、皮下血管平滑肌瘤的临床及超声特征是什
- 1、超声诊断最可能是什么?2、还需要进行
- 1、患者可能的诊断是什么?2、还需要进行
- 1、初步诊断是什么?2、为明确诊断,还需
- 1、甲状旁腺病变的常见类型有哪些?2、甲
- 1、结肠癌的超声表现有哪些?2、结肠癌的
- 1、超声提示为?2、脾囊肿有哪些类型?3
- 1、患者可能性的诊断是什么?2、为明确诊
- 1、甲状腺未分化癌的特征性声像图表现有哪
- 1、该患者可能的诊断是?诊断依据是?2、
- 1、该患者的最后诊断是什么?2、该患者卵