试题详情
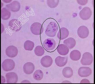
多项选择题如图,圈中所示红细胞绝对值减少见于下列哪些疾病 ( )

A、巨幼细胞贫血

B、遗传性球形红细胞增多症

C、缺铁性贫血

D、再障

E、PNH

  • 关注下方微信公众号,搜题查看答案

热门试题