试题详情
- [材料题] 患者唐某,男,23岁4个月,因“发现双侧淋巴结肿大10个多月,阵发性夜间盗汗2个多月。”入院。入院前10个多月,患者无意中发现颈部淋巴结肿大,约豌豆大小,质韧,活动度可,无明显压痛,未予以重视。随后包块逐渐增多增大。入院前2个多月,患者出现阵发性夜间盗汗,无咳嗽咳痰,无发热畏寒等,未予以特殊处理。彩超示:双侧颈部低回声(右侧最大约:16mm×9mm,左侧最大约14mm×7mm)。
- 多项选择题1.为明确诊断可选的检查有哪些( )
A、双侧颈部淋巴结活检术
B、腹部CT
C、尿常规
D、X光
E、胃镜
F、骨髓穿刺
G、骨髓活检
H、免疫组化
关注下方微信公众号,搜题查看答案

- 多项选择题2.患者行“双侧颈部淋巴结活检术”结果示:经典型霍奇金淋巴瘤(HL), 混合细胞型。则以下说法正确的是( )
A、HL是一种淋巴系统恶性增殖性疾病
B、HL是一种合成和分泌大量单克隆IgM蛋白的淋巴样浆细胞恶性增生性疾病
C、瘤细胞分泌单克隆免疫球蛋白(M蛋白)是HL的主要特征
D、淋巴组织中特征性的Reed-Sternberg细胞(R-S细胞)是HL的特有细胞
E、HL发病机制仍不清楚,可能与感染,尤其是EB病毒感染有关
F、anti-Leu-Ml(CD15)被认为是鉴别HL与其他反应性或肿瘤性病例的常用单抗
关注下方微信公众号,搜题查看答案

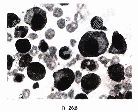
- 多项选择题3.霍奇金淋巴瘤的诊断通常经淋巴结活组织检查证实,典型的Reed-Sternberg细胞(R-S细胞)对本病的诊断有很重要的意义。图26中为R-S细雕( )
A、

B、

C、

D、

E、

F、

关注下方微信公众号,搜题查看答案

- 多项选择题4.关于霍奇金淋巴瘤(HIL)的临床特征以下描述错误的是( )
A、HL大多以无痛性浅表淋巴结肿大为首发症状
B、HIL病变较局限,很少侵犯全身组织器官
C、约1/3患者脾脏病变,肝大占10%左右,肝侵犯主要来自脾脏转移,为血源性播散。
D、30%~50%以原因不明的持续性或周期性发热为主要起病症状
E、部分患者还有盗汗、乏力、消瘦和全身皮肤瘙痒
F、晚期患者常有贫血和恶病质等
关注下方微信公众号,搜题查看答案

热门试题
- 1、根据以上体征,该患者可能患的疾病是2
- 1、由HLA-DR、DQ、DP座位基因所
- 1、目前临床最常用检测可溶性黏附分子的方
- 免疫胶乳浊度测定法的特点 ( )
- 1、患者可能的诊断为( )A、血小
- 染色的细胞受激光照射后发出荧光,同时产生
- 1、初步诊断应考虑( )A、Lam
- 多发性硬化的描述正确的是( )A、
- 下述抗原抗体反应中属于沉淀反应的是A、单
- 电解质分析仪管路堵塞的主要原因是A、蛋白
- 下列检验方法的原理属免疫荧光技术的有(
- 化学发光免疫分析所使用的标记物根据其参与
- 1、目前临床上检测细胞因子的意义不包括2
- 下列哪些疾病属于体液免疫缺陷A、Dige
- 引起样品输入通道堵塞的因素有A、药物结晶
- 放射免疫技术中所使用的抗体要求 (
- 可用来进行定量测定的试验是A、双向扩散试
- 影响肿瘤标志物检测的主要干扰因素有A、交
- 关于免疫学测定细胞因子正确的是 (
- 由于血气分析仪电极对温度变化敏感,测量室