试题详情
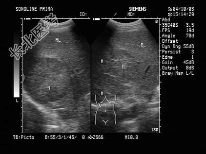
- 单项选择题男性患者,35岁, 乙肝带菌者,体检时发现肝部异常光团, 如图可诊断为   (   )

 A、多发肝血管瘤
B、肝囊肿
C、肝转移癌
D、肝脓肿
E、肝癌
关注下方微信公众号,搜题查看答案

热门试题
- 胃肠超声检查的意义,除以下哪项外A、观察
 - 中晚期食管癌最常见的肉眼形态是A、髓质型
 - 阴囊中隔将阴囊分为左、右两囊,囊内结构包
 - 右冠状动脉的分支除外A、后室间支B、左室
 - 关于缩窄性心包炎的超声征象,以下哪一项描
 - 下列不是恶性肿瘤的是A、骨肉瘤B、软骨肉
 - 女性,25岁, 心悸气短5年,近2年加重
 - 关于细菌性肝脓肿侵入的主要途径是A、肝损
 - 下列会影响超声造影回声强度的是( )
 - 女性,24岁, 葡萄胎刮宫术3个月,血β
 - 超声引导下射频消融依据射频能量的不同应用
 - 下列哪项描述的是典型胃平滑肌瘤A、瘤体极
 - 利用超声右心造影对卵圆孔未闭进行半定量分
 - 1、应考虑的疾病有2、为明确诊断,尚须检
 - 超声扫查当横膈显示异常清晰且活动时,则提
 - 以下除哪一项外,均可作为确定肝内有囊性或
 - 对于脾脏病变,叙述错误的是A、脾脏血管肉
 - 患者有心梗史,如图所示最有可能诊断是
 - 以下哪项是识别胆囊解剖位置的最重要标志
 - 法洛四联症病理生理改变中,一般不会出现A