试题详情
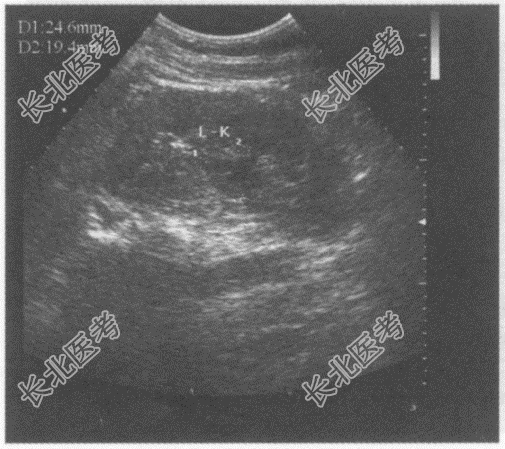
- 单项选择题临床资料:男, 48岁,常规体检。
超声综合描述: 左肾集合系统中部可见2.5cm×1.9cm低回声区,形态不规则, CDFI:内见少许动、静脉血流信号。见下图及彩图。
超声提示:  A、左肾肥大肾柱
B、左肾盂旁囊肿
C、左肾积水
D、左肾集合系统中部实性占位
E、右肾错构瘤
关注下方微信公众号,搜题查看答案

热门试题
- 临床资料:男, 48岁,常规体检。 超
 - 妇产科超声检查有多种方法,下列哪项错误A
 - 有关主动脉瓣区正常频谱分析,哪一项错误A
 - 以下结构属于肾皮质的是A、肾叶B、肾锥体
 - 临床资料:男, 57岁,自诉近视30余年
 - 以下哪一项不属于卵巢非赘生性囊肿A、滤泡
 - 以下除哪项外,其余均为肝内胆管扩张的特征
 - 下列关节囊内有韧带的关节是A、肩关节B、
 - 临床资料:女性患者, 23岁,自述药流术
 - 患者男性,28岁, 乏力,气急, 浮肿等
 - 使足内翻的肌肉有A、比目鱼肌B、腓骨短肌
 - 超声示意图为一患者剑突下横切图,显示了肝
 - 晚期妊娠时阴道无痛性流血,首先应考虑的是
 - 人体组织体液回声按其强弱排列,错误的是A
 - 受内分泌影响,女性乳腺不同年龄段声像图表
 - 有关多囊卵巢综合征,叙述正确的有A、超声
 - 有关阴囊解剖的描述,哪一项不正确 (
 - 以下哪项是肥大肾柱声像图特点:A、CDF
 - 对于肾积水声像图的描述,以下不正确的是A
 - 以下哪项是最常见的乳腺良性肿瘤A、乳腺增