试题详情
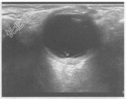
- 单项选择题临床资料:男, 57岁,自诉近视30余年, 近1月右眼视物模糊,眼前阴影遮挡, 视力下降,当地医院诊断糖尿病视网膜痛变。眼科检查: 视力:右0.05、左0.6。眼底右眼窥视较模糊, 视盘边界不清,水肿, 血管走行尚可,视网膜大量散在点片状出血, 火焰状。
超声综合描述:右眼玻璃体暗区内可见带状回声, 其尖端与视盘相连,两边分别与周边球壁相连(箭头所示), 呈“V“形,运动试验、后运动阳性, CDFI:带状回声内可见动脉血流信号, 且与视网膜中央动脉血流信号相延续。
超声提示: A、玻璃体后脱位
B、视网膜脱离
C、玻璃体积血
D、脉络膜脱离
E、原始玻璃体增生症
关注下方微信公众号,搜题查看答案

热门试题
- 胡桃夹综合征是什么?超声检查如图
 - 有关大脑中动脉闭塞的超声表现,叙述正确的
 - 应用壁滤波的目的是A、去除运动的组织(如
 - 患者,男性, 2岁,突发性腹痛, 大便带
 - 某男性患者,体检时超声显示肝内有一圆形无
 - 临床资料:女性患者, 42岁,自述月经不
 - 以下哪项是子宫肌瘤常见的临床表现 (
 - 患者,女性, 39岁,无明显自觉症状。体
 - 对于发现早期膀胱癌,以下最好的检查方法是
 - 对急性阑尾炎的描述,不正确的是A、阑尾炎
 - 晚期肝硬化表现不包括 ( )A、
 - 右季肋区肿块有可能为 ①扩张的胆囊;②肿
 - 有关胃的描述正确的是A、胃大部分位于腹上
 - 超声可鉴别视网膜脱离与玻璃体机化膜,其各
 - 想要了解所检测的血管的血流是否为高阻力,
 - 男,25岁, 自述发热,嗓子痛。临床物理
 - 临床资料:男性患者, 64岁,自述间断性
 - 关于主动脉弓离断,以下错误的是A、不伴有
 - 引起黄疸的疾病主要有:A、胆管结石、肿瘤
 - 正常肾实质的厚度为A、1.5~2.5cm